#Tags
Đau quặn bụng phải nhập viện, tưởng bị về đường ruột nhưng hóa ra là do tinh hoàn
Y tế 24h - 14/05/2020
Đây là một căn bệnh rất nguy hiểm với nam giới, nếu không phát hiện sớm thì nguy cơ cao sẽ bị biến chứng thành ung thư tinh hoàn.
Bên còn bên mất, thanh niên Hà Nội được thay tinh hoàn nhân tạo
Y tế 24h - 16/09/2020
Ở độ tuổi 20, chàng trai trẻ luôn tự ti, rơi vào trầm cảm khi “vũ khí” của mình chỉ còn một bên “đạn”.
Phát hiện nCoV trong tinh hoàn bệnh nhân
Y học thường thức - 13/11/2020
nCoV được tìm thấy trong tinh hoàn của 6 người đàn ông mắc Covid-19 đã chết. Các nhà khoa học cho rằng virus có thể ảnh hưởng sinh lý nam.
Tinh hoàn ẩn 15 năm
Y tế 24h - 10/03/2021
QUẢNG NINH - Thiếu niên 15 tuổi, từ nhỏ không thấy tinh hoàn ở bìu trái, các chức năng đại tiểu tiện bình thường nên không đi khám.
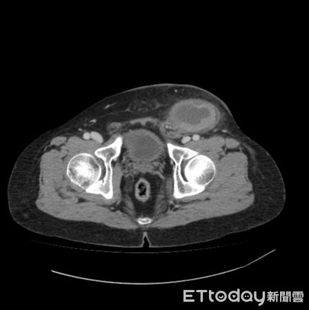
Tinh hoàn bé trai nằm lạc trong ổ bụng
Hướng dẫn nuôi dạy con - 16/03/2021
TP HCM - Bé trai 2 tuổi, ở Bến Tre, gần đây bố mẹ sờ không thấy tinh hoàn ở bìu nên đưa đến khám tại Bệnh viện Nhi đồng 2.
Chàng trai đứt rời ống dẫn tinh sau tai nạn xe máy
Thời sự xã hội - 06/04/2021
Các bác sĩ cho biết, ống dẫn tinh bị đứt rời có thể làm mất đường đi của tinh trùng ra tinh hoàn, ảnh hưởng đến sức khỏe sinh sản người bệnh sau này.
Dấu hiệu nào cảnh báo ung thư tinh hoàn?
Bệnh ung thư - 08/05/2023
Khi nhận thấy có khối u bất thường trong bìu, người bệnh nên sớm đến cơ sở y tế để các bác sĩ thăm khám, chẩn đoán và điều trị kịp thời.



