Đau quặn bụng phải nhập viện, tưởng bị về đường ruột nhưng hóa ra là do tinh hoàn
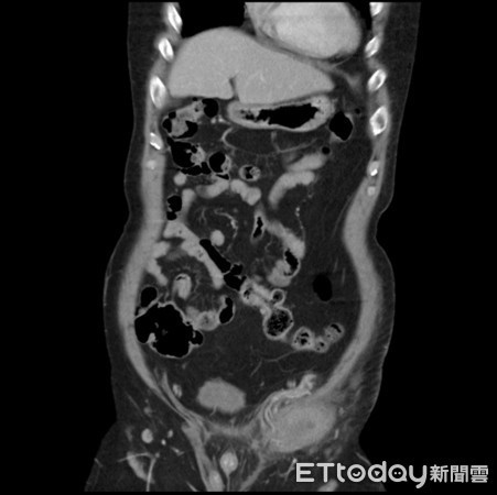
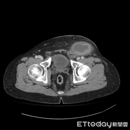
Theo trang Ettoday, một người đàn ông 46 tuổi ở thành phố Cao Hùng, Đài Loan đến bệnh viện trong tình trạng đau bụng dưới bên trái cấp tính. Sau khi khám, bác sĩ nghi ngờ bệnh nhân bị thoát vị bẹn trái và có thể bị hoại tử ruột. Tuy nhiên, sau khi tình cờ thấy bệnh nhân không có tinh hoàn, bác sĩ cho tiến hành chụp cắt lớp thì phát hiện ra phía bên trái tinh hoàn đang bị hoại tử. Do đó, bệnh nhân được chẩn đoán là bị tinh hoàn lạc chỗ, cần phải phẫu thuật khẩn cấp và may mắn là đã vượt qua cơn nguy hiểm.
Tố Kim Minh, trưởng khoa Tiết niệu, bệnh viện thành phố Cao Hùng cho biết: “Tinh hoàn lạc chỗ (Cryptorchidism) là do sự gián đoạn của tinh hoàn từ khoang bụng xuống bìu trong quá trình phát triển của nam giới. Điều này nghĩa là tinh hoàn không di chuyển vào đúng vị trí trong bao da treo phía sau dương vật trước khi bé trai ra đời".

Bác sĩ Tố nói thêm rằng, các bé trai có thể làm xét nghiệm để kiểm tra sức khỏe sinh sản trong độ tuổi sơ sinh. Nếu việc điều trị bằng phẫu thuật trong giai đoạn từ 1 đến 2 tuổi, sẽ giúp cho tinh hoàn phát triển và hoàn thiện các chức năng hoàn hảo hơn. Phương pháp phẫu thuật được lựa chọn tùy theo vị trí tinh hoàn bị lệch.
Trang Mayoclinic cho biết, tinh hoàn lạc chỗ có thể gây ra nhiều biến chứng nguy hiểm như:
- Ung thư tinh hoàn
Ung thư tinh hoàn phát triển khi tinh hoàn tạo ra tinh trùng khuyết tật. Nguyên nhân gây ung thư có rất nhiều, nhưng đối với đàn ông có tinh hoàn đặt lệch chỗ hoặc ẩn thì có nguy cơ bị ung thư cao hơn.
- Vấn đề sinh sản
Đối với đàn ông có tinh hoàn không thể di chuyển, số lượng và chất lượng tinh trùng của họ rất kém, dẫn tới khả năng sinh sản giảm. Điều này có thể là do sự phát triển bất thường của tinh hoàn, tình trạng có thể trở nên tồi tệ nếu không được điều trị trong thời gian dài.
Trong khi kiểm tra lâm sàng về vấn đề tinh hoàn bị lệch, một số trẻ sẽ bị co thắt cơ bắp do căng thẳng, kéo tinh hoàn xuống bụng dưới, khiến việc kiểm tra gặp trở ngại. Bác sĩ Tố nhắc nhở cha mẹ nên chú ý hơn đến sự phát triển của các bé trai. Ngoài việc kiểm tra sức khỏe cơ bản, cha mẹ có thể quan sát sự xuất hiện của bìu con mình thông qua việc thay tã, hoặc quan tâm đến sự phát triển của tinh hoàn bằng cách chạm vào.
Phan Hằng (Theo Ettoday & Mayoclinic)
Đọc tiếp cùng chuyên mục
Người đàn ông suýt mất chân vì đắp lá chữa bỏng lửa
Y tế 24h - 18/03/2026
Ngày 12/3, Bệnh viện Bệnh nhiệt đới Trung ương cho biết, tại đây mới tiếp nhận 1 bệnh nhân 44 tuổi, người dân tộc thiểu số ở Tuyên Quang, tổn thương...
Cẩn trọng về bút tiêm giảm cân: Chúng không phải sản phẩm làm đẹp hay thực phẩm chức năng
Y tế 24h - 18/03/2026
Sự thật về bút tiêm "giảm cân" Trên mạng xã hội trong thời gian gần đây lại tràn lan quảng cáo về bút tiêm "giảm cân" với chỉ dẫn tiêm mỗi tuần một...
Tưởng chỉ sốt viêm họng, nữ sinh bất ngờ nguy kịch vì "siêu vi khuẩn" tấn công
Y tế 24h - 18/03/2026
Ngày 16/3, các bác sĩ Bệnh viện Bệnh nhiệt đới Trung ương vừa cấp cứu 1 nữ sinh nhập viện trong tình trạng nguy kịch do "siêu vi khuẩn" tụ cầu vàng...
Liên tiếp các ca uốn ván co cứng hàm, cơ toàn thân nhập viện
Y tế 24h - 05/03/2026
Hệ lụy từ vết thương nhỏ ThS.BS Phạm Thanh Bằng. Bệnh viện Bệnh nhiệt đới cho biết, gần đây bệnh viện tiếp nhận nhiều bệnh nhân uốn ván, nhập vi...