Khối u to bằng nắm đấm đè lên tim
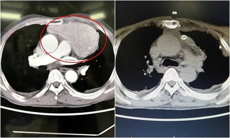
Các bác sĩ Bệnh viện Đa khoa Quảng Ninh ngày 1/7 cho biết, kết quả chẩn đoán bệnh nhân có khối u nằm ngay trước tim, kích thước lớn bằng quả tim thật, đè đẩy các mạch máu, tim và khí phế quản.
Bệnh nhân được thực hiện xét nghiệm sinh thiết khối u, kết quả là khối u ác tính tuyến ức, chưa di căn xa. Các bác sĩ Khoa Ngoại - Ung Bướu hội chẩn, quyết định phẫu thuật.
Kíp mổ tiến hành phẫu thuật theo đường mở xương ức và ngực trái bộc lộ khối u trung thất lớn, kích thước lớn, chiều dài nhất dài 11 cm, hai chiều còn lại dài 7 cm. Sau hơn 2 giờ, phẫu thuật viên bóc tách, lấy trọn khối u và tổ chức xung quanh, bảo tồn nguyên vẹn tim, các mạch máu thần kinh quan trọng vùng tim như tĩnh mạch chủ trên, động mạch chủ, động mạch phổi, thần kinh hoành, thần kinh X.
Đến nay, tình trạng sức khoẻ bệnh nhân ổn định, đỡ đau tức ngực, ăn uống và vận động nhẹ nhàng.
Bác sĩ Phạm Việt Hùng, Trưởng khoa Ngoại, cho biết phẫu thuật ung thư tuyến ức là phẫu thuật lớn, thường phải dùng đường mở xương ức để lấy toàn bộ tuyến ức và cắt bỏ các tổ chức bị ung thư xâm lấn. Nếu không được phát hiện, phẫu thuật loại bỏ u kịp thời, các triệu chứng sẽ ngày càng nặng hơn và dẫn tới tử vong.
Hiện nay, phẫu thuật là phương pháp điều trị chính cho dù u lành hay ác tính. Trường hợp u lành, khối u nhỏ có thể mổ qua nội soi, đối với khối u kích thước lớn, ác tính cần mở ngực để cắt bỏ nguyên khối u và tổ chức xung quanh.
Các bác sĩ khuyến cáo khi có những triệu chứng bất thường bệnh nhân cần đến bệnh viện để được chẩn đoán, phát hiện và xử trí kịp thời.
 
Thúy Quỳnh
Đọc tiếp cùng chuyên mục
Tự điều trị ung thư máu bằng đắp thuốc "giác hơi", nam thanh niên nguy kịch
 
                                            Bệnh ung thư - 01/10/2024
Tự điều trị ung thư máu bằng đắp thuốc "giác hơi", nam thanh niên nguy kịch
Ung thư cổ tử cung có thể tầm soát sớm?
 
                                            Bệnh ung thư - 30/09/2024
Ung thư cổ tử cung có thể tầm soát sớm?
Phát hiện sớm tổn thương tiền ung thư nhờ thực hiện đều đặn việc này
 
                                            Bệnh ung thư - 09/08/2024
Phát hiện sớm tổn thương tiền ung thư nhờ thực hiện đều đặn việc này
Tiến bộ về kỹ thuật di truyền tạo bước tiến lớn trong điều trị ung thư
 
                                            Bệnh ung thư - 06/08/2024
Tiến bộ về kỹ thuật di truyền tạo bước tiến lớn trong điều trị ung thư
Mổ nội soi thành công ca bệnh ung thư trực tràng cho bệnh nhân lớn tuổi ở Đắk Lắk
 
                                            Bệnh ung thư - 22/07/2024
Mổ nội soi thành công ca bệnh ung thư trực tràng cho bệnh nhân lớn tuổi ở Đắk Lắk




