Mũi tiêm giúp bệnh nhân ung thư thoát đau đớn
Hai tháng gần đây, bệnh nhân sốt cao, mất ngủ về đêm, ăn uống kém, suy sụp toàn diện về thể chất, tinh thần. Người nhà đưa đến nhập viện Đa khoa Bãi Cháy điều trị, ngày 2/7.
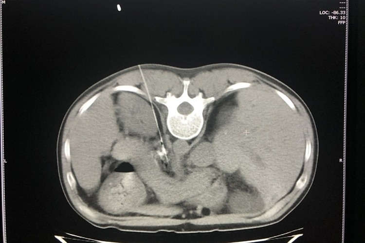
Bác sĩ Lê Tiến Hưng, Phó Trưởng Khoa Chẩn đoán hình ảnh, thực hiện kỹ thuật diệt đám rối thần kinh thân tạng, giảm đau cho bệnh nhân.
Đám rối thân tạng (hay đám rối dương – Celiac Plexus) là một đám rối thần kinh lớn trong ổ bụng, là trung tâm chuyến tiếp cảm giác đau của các tạng nằm tầng trên đại tràng ngang như tụy, dạ dày thực quản, gan, tuyến thượng thận...
Bệnh nhân không cần gây mê. Các bác sĩ tiêm cồn tuyệt đối diệt hạch thân tạng, dưới hướng dẫn của kỹ thuật cắt lớp vi tính. Yêu cầu đường kim chọc vào đám rối thân tạng phải chính xác tuyệt đối, tránh làm tổn thương gan, tạng, chọc thủng tạng hoặc mạch máu trong quá trình can thiệp.
Ngay sau can thiệp, bệnh nhân đã hết đau, ngủ được, ăn uống tốt trở lại và được xuất viện sau 24 giờ.
Bác sĩ Hưng cho biết diệt đám rối thần kinh thân tạng là phương pháp giảm đau nhân đạo cho bệnh nhân ung thư giai đoạn cuối khi mọi liệu pháp điều trị không còn hiệu quả. Phương pháp này giúp người bệnh ung thư gan, tụy, dạ dày, thận... chấm dứt những cơn đau bệnh, mang đến trạng thái sức khỏe và tinh thần khỏe khoắn, nâng cao hiệu quả điều trị, kéo dài thời gian sống.
Theo nghiên cứu y khoa, đau là triệu chứng lâm sàng phổ biến ở bệnh nhân ung thư. Trong đó, 50% số bệnh nhân đau tại thời điểm chẩn đoán, 65-68% bệnh nhân đau trong giai đoạn tiến triển. Nguyên nhân do ung thư có thể do khối u, ung thư xâm lấn vào xương, thần kinh, phần mềm, tạng... Khối u lớn chèn ép vào các tạng, vị trí thần kinh gây cảm giác đau nặng tăng dần, liên tục, dai dẳng.
Đau do ung thư hành hạ khiến người bệnh mất ngủ triền miên, tâm trạng lo âu, buồn bực, chán nản, suy giảm chất lượng cuộc sống, sinh hoạt, cơ thể suy kiệt dần và dẫn tới nguy cơ tử vong sớm. Bác sĩ cho biết, người bệnh thường tìm đến morphine - thuốc giảm đau có chất gây nghiện để giải thoát khỏi cơn đau nhưng về lâu dài sẽ phải tăng liều lượng, hiệu lực giảm đau của thuốc rút ngắn dần, người bệnh vẫn phải chịu đựng đau đớn tái phát.
Bệnh viện Bãi Cháy là một trong ít những đơn vị tỉnh áp dụng giảm đau bằng phương pháp này.
Thúy Quỳnh
Đọc tiếp cùng chuyên mục
Tự điều trị ung thư máu bằng đắp thuốc "giác hơi", nam thanh niên nguy kịch
Bệnh ung thư - 01/10/2024
Tự điều trị ung thư máu bằng đắp thuốc "giác hơi", nam thanh niên nguy kịch
Ung thư cổ tử cung có thể tầm soát sớm?
Bệnh ung thư - 30/09/2024
Ung thư cổ tử cung có thể tầm soát sớm?
Phát hiện sớm tổn thương tiền ung thư nhờ thực hiện đều đặn việc này
Bệnh ung thư - 09/08/2024
Phát hiện sớm tổn thương tiền ung thư nhờ thực hiện đều đặn việc này
Tiến bộ về kỹ thuật di truyền tạo bước tiến lớn trong điều trị ung thư
Bệnh ung thư - 06/08/2024
Tiến bộ về kỹ thuật di truyền tạo bước tiến lớn trong điều trị ung thư
Mổ nội soi thành công ca bệnh ung thư trực tràng cho bệnh nhân lớn tuổi ở Đắk Lắk
Bệnh ung thư - 22/07/2024
Mổ nội soi thành công ca bệnh ung thư trực tràng cho bệnh nhân lớn tuổi ở Đắk Lắk




