Bé gái 11 tháng tuổi bị vi khuẩn Whitmore tấn công
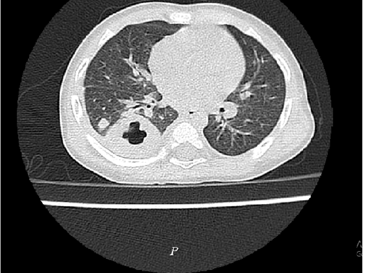
Các bác sĩ Khoa Nhi, Bệnh viện Đa khoa Hùng Vương, ngày 19/8 cho biết kết quả xét nghiệm máu, chụp X-quang tim phổi, cấy máu, chụp cắt lớp vi tính phổi, cho thấy bé bị nhiễm khuẩn huyết, áp xe phổi. Ba ngày sau, kết quả cấy máu cho thấy bé dương tính với Whitmore (Burkholderia pseudomallei).
Bệnh viện Đa khoa Hùng Vương hội chẩn với các bác sĩ Bệnh viện Nhi Trung ương, dùng kháng sinh điều trị, phẫu thuật dẫn lưu mủ trong phổi. Sau đó bé được chuyển về Bệnh viện Nhi Trung ương, Hà Nội, điều trị tiếp.
Hiện các bác sĩ vẫn chưa rõ bé nhiễm vi khuẩn Whitmore từ nguồn nào.
Whitmore là căn bệnh truyền nhiễm rất khó phát hiện do dễ nhầm lẫn với các bệnh khác. Theo bác sĩ Phạm Văn Hà, Khoa Nhi, Bệnh viện Nhi Trung ương, ngay cả khi được chẩn đoán đúng bệnh, việc điều trị cũng vô cùng khó khăn và có nguy cơ tử vong cao.
Whitmore là bệnh truyền nhiễm nguy hiểm cấp tính do vi khuẩn gram âm có tên Burkholderia pseudomallei gây nên. Bệnh do bác sĩ Afred Whitmore mô tả năm 1912 tại Miến Điện, từ đó lấy tên Whitmore. Vi khuẩn này sống trên bề mặt nước và trong đất đặc biệt là bùn đất, lây sang người qua vết trầy xước trên da hoặc qua đường hô hấp khi hít phải các hạt bụi đất hoặc giọt nước li ti trong không khí có chứa vi khuẩn, nhất là vào mùa mưa.
Bệnh Whitmore biểu hiện ở các vị trí khác nhau nên dấu hiệu và triệu chứng cũng khác nhau, gây nhiễm trùng phổi, nhiễm trùng cục bộ, nhiễm trùng trên da, nhiễm trùng máu, nhiễm trùng lan tỏa...
Tác động của nhiễm trùng phổi có thể từ viêm phế quản nhẹ đến viêm phổi nặng, các triệu chứng như sốt, nhức đầu, chán ăn, ho, khó thở, đau ngực và đau nhức cơ. Nhiễm trùng cục bộ biểu hiện đau hoặc sưng ở một vùng nhất định (khu trú) như tuyến mang tai, nơi thường liên quan nhất với quai bị và nằm bên dưới và phía trước tai. Nhiễm trùng trên da (viêm mô tế bào) với các dấu hiệu đau hoặc sưng, loét và áp xe, kèm theo sốt và đau cơ.
Vi khuẩn Whitmore xâm nhập vào máu sẽ gây nên tình trạng nhiễm trùng máu với các triệu chứng gồm: sốt cao rét run, đau đầu, đau họng, khó thở, đau vùng bụng trên, tiêu chảy, đau khớp và đau cơ, vết loét có mủ trên da... Vết loét hình thành ở nhiều cơ quan khác nhau rải rác trên cơ thể, sụt cân, đau đầu, co giật, đau ở các bộ phận khác nhau (ngực, dạ dày, cơ, khớp).
Bệnh Whitmore gặp ở tất cả độ tuổi, cả nam và nữ, phần đông là người có nghề nghiệp tiếp xúc trực tiếp và thường xuyên với đất, nước. Người có các bệnh mạn tính như đái tháo đường, thận, phổi, suy giảm miễn dịch... dễ mắc Whitmore.
Theo báo cáo từ các vùng có bệnh trên thế giới, tỷ lệ trẻ em mắc Whitmore chiếm 5-15% tổng số ca.
Các bác sĩ khuyến cáo các biện pháp phòng bệnh gồm mang giày, ủng và găng tay bảo hộ khi làm việc ở môi trường nước. Tránh tiếp xúc với những nơi có nguồn nước, đất bị ô nhiễm nếu mắc bệnh tiểu đường, viêm thận mạn tính có vết xước, hay vết thương hở trên da. Tránh ra đường trong mùa mưa bão, nước ngập vì vi khuẩn gây bệnh Whitmore có thể sống rất lâu trong môi trường này, hoặc che chắn, băng bó vết thương cẩn thận nếu phải ra ngoài lúc trời mưa bão.
Nếu nghi ngờ mắc bệnh Whitmore, hãy đến ngay cơ sở y tế để được thăm khám và điều trị kịp thời.
Đọc tiếp cùng chuyên mục
Trẻ bị bỏng có nên bôi mỡ trăn?
Hướng dẫn nuôi dạy con - 04/11/2024
Trẻ bị bỏng có nên bôi mỡ trăn?
Đau dữ dội vùng bẹn trái, nam sinh 15 tuổi được phẫu thuật "cứu" tinh hoàn kịp thời
Hướng dẫn nuôi dạy con - 23/10/2024
Đau dữ dội vùng bẹn trái, nam sinh 15 tuổi được phẫu thuật "cứu" tinh hoàn kịp thời
Nam sinh đau đớn vùng kín phải nhập viện vì tò mò tuổi mới lớn
Hướng dẫn nuôi dạy con - 08/10/2024
Nam sinh đau đớn vùng kín phải nhập viện vì tò mò tuổi mới lớn
Thủ tướng: Sớm công bố đề thi tốt nghiệp THPT tham khảo ổn định trong nhiều năm
Hướng dẫn nuôi dạy con - 08/10/2024
Thủ tướng: Sớm công bố đề thi tốt nghiệp THPT tham khảo ổn định trong nhiều năm
Đình chỉ cô giáo thân mật với nam sinh trong lớp học tại Hà Nội
Hướng dẫn nuôi dạy con - 04/10/2024
Đình chỉ cô giáo thân mật với nam sinh trong lớp học tại Hà Nội




