Cây kim khâu lạc trong cơ thể bé gái
Bác sĩ phát hiện dị vật ở lồng ngực bên phải của bé, nghi là chiếc kim khâu. Bé được chuyển tới Bệnh viện Nhi Trung ương, ngày 23/4.
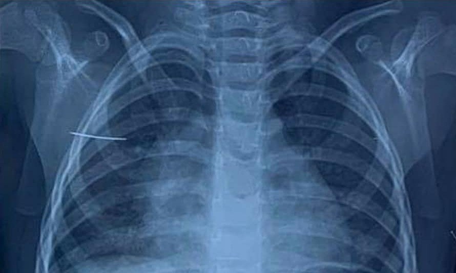
Kết quả chụp X-quang và cắt vi tính lồng ngực phát hiện dị vật hình kim khâu nằm tại mặt trước xương bả vai bé.
Bác sĩ Nguyễn Minh Khôi, khoa Ngoại tổng hợp, cho biết khi phẫu thuật nội soi vào giữa cơ dưới vai và cơ thang, các bác sĩ phát hiện nằm lẫn trong các sợi cơ là chiếc kim khâu dài gần 4 cm, đầu nhọn. Sau một giờ nội soi, chiếc kim đã được lấy ra hoàn toàn, không đứt gãy.
Tiến sĩ Phạm Duy Hiền, Phó Giám đốc Bệnh viện Nhi Trung ương, cho biết dị vật sắc nhọn chui vào cơ thể là một tai nạn sinh hoạt nguy hiểm khá thường gặp ở trẻ em. Dị vật nhỏ, di chuyển và nằm lẫn trong các khối cơ sâu nên quá trình phẫu thuật rất khó khăn.
Đọc tiếp cùng chuyên mục
Hai dấu hiệu cần nhập viện ngay khi mắc cúm A
Phòng bệnh - 11/02/2025
Hai dấu hiệu cần nhập viện ngay khi mắc cúm A
Nhiều người đi tiêm vaccine cúm, sau tiêm bao lâu có tác dụng?
Phòng bệnh - 11/02/2025
Nhiều người đi tiêm vaccine cúm, sau tiêm bao lâu có tác dụng?
Cần làm gì khi mắc cúm A?
Phòng bệnh - 10/02/2025
Cần làm gì khi mắc cúm A?
Biến chứng đái tháo đường có nghiêm trọng?
Phòng bệnh - 27/12/2024
Biến chứng đái tháo đường có nghiêm trọng?
Cảnh giác đột quỵ, nhồi máu cơ tim khi trời trở rét
Phòng bệnh - 10/12/2024
Cảnh giác đột quỵ, nhồi máu cơ tim khi trời trở rét




