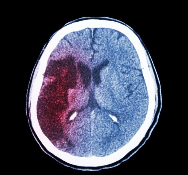
Xuất huyết não “giết người nhanh nhất”, 4 dấu hiệu trước khi khởi phát nhưng dễ bị bỏ qua
Căn bệnh này được mệnh danh là "kẻ giết người nhanh nhất" và được biết đến với sự khởi phát nhanh chóng, là căn bệnh số một gây ra cái chết của người trung niên và người cao tuổi ở Trung Quốc.
Tuy nhiên, cơ thể sẽ có những dấu hiệu trước khi phát bệnh, những dấu hiệu này rất dễ bị bỏ qua, và việc phát hiện ra chúng một cách kịp thời là vô cùng quan trọng.
 
1. Lưỡi cứng, khóe miệng chảy nhiều nước dãi
Đột ngột cảm thấy cứng ở gốc lưỡi, sưng lưỡi, khó nói hoặc đột ngột chảy nước dãi ở một bên miệng, không nói được hoặc nói lắp. Một số người sẽ có triệu chứng buồn ngủ quá mức trước khi xuất huyết não, tuy nhiên giấc ngủ không thể loại bỏ được tình trạng mệt mỏi.
2. Khó nói chuyện
Miệng và mắt bị lệch, liệt mặt là những biểu hiện thường gặp của bệnh xuất huyết não. Lúc này miệng sẽ khó nói, phát âm không chuẩn.
3. Có nhiệt độ cơ thể bình thường ở tay phải nhưng lạnh ở tay trái
Thân nhiệt tay phải bình thường nhưng tay trái lại lạnh. Bệnh nhân liên tục cảm thấy chóng mặt và các triệu chứng ngày càng nặng, thậm chí còn bị mờ mắt và chóng mặt sau khi cầm vật nặng ở bên trái. Thực chất triệu chứng này là do tắc mạch máu dẫn đến tụt huyết áp đáng kể.
4. Thường xuyên chóng mặt
Cảnh vật xung quanh dường như xoay như chong chóng, đứng không vững thậm chí ngất xỉu trên mặt đất. Những biểu hiện này có thể xuất hiện trong thời gian ngắn một lần, có thể tái phát hoặc nặng dần.
Nguyên nhân xuất huyết não
Nếu huyết áp tăng vượt quá khả năng co bóp tối đa của cơ trơn tiểu động mạch não, mạch máu sẽ giãn ra một cách thụ động, cơ trơn bị tổn thương, tính thấm tăng, sự xâm nhập của các thành phần huyết tương sẽ dẫn đến hoại tử sợi tiểu động mạch, cơ trơn tiểu động mạch trở nên trong suốt. Thành mỏng và phồng lên thành những túi phình nhỏ; thành tiểu động mạch và những túi phình nhỏ bị vỡ khi huyết áp tăng đột ngột là nguyên nhân phổ biến nhất gây xuất huyết não.
Di chứng xuất huyết não
Đối với bệnh nhân xuất huyết não, nhu mô não sau khi xuất huyết sẽ bị tổn thương ở một mức độ nhất định, tương ứng sẽ có những trở ngại về chức năng của não, do đó, dù điều trị nhưng những bệnh nhân vẫn để lại những di chứng ở mức độ khác nhau. Triệu chứng phổ biến nhất của di chứng xuất huyết não là liệt nửa người, biểu hiện là giảm sức cơ của một chi, cử động không thuận lợi hoặc hoàn toàn, thường kèm theo rối loạn cảm giác của chi như mất cảm giác. Đôi khi, nó cũng có thể đi kèm với các khuyết tật trường thị giác hai bên.
Cách phòng tránh như thế nào?
Tập thể dục thường xuyên
Các nghiên cứu đã chỉ ra rằng, những người tập thể dục mỗi ngày sẽ giảm được 33% tỷ lệ xuất huyết não, do đó nên tập thể dục thể thao phù hợp, đồng thời lựa chọn các bài tập aerobic như đi bộ, nhảy dây,… Thời gian tập nên khoảng 1 tiếng, không quá dài hoặc quá ngắn.
Tránh thức ăn nhiều muối và lạnh
Đối với bệnh nhân tắc nghẽn mạch máu não nên cho lượng muối ít, áp dụng chế độ ăn ít muối, mỗi ngày 4 gam muối. Tránh ăn lạnh vì thức ăn quá lạnh đi vào đường tiêu hóa sẽ kích thích dạ dày đột ngột, gây co mạch, tăng huyết áp, làm bệnh nặng thêm, dễ gây xuất huyết não.
 
Ăn nhiều rau củ quả, bổ sung vitamin và muối vô cơ
Người trung niên và người cao tuổi có thể ăn nhiều rau quả, đặc biệt là các loại rau có lá màu xanh đậm, hoa quả có màu sáng hoặc sẫm như việt quất, nho, kiwi, cam,… để bổ sung vitamin và muối vô cơ, ngăn ngừa bệnh cao huyết áp.
Hoạt động tay trái
Một số người đã quen với việc sử dụng tay phải từ lâu nhưng tay trái lại ít vận động dẫn đến bán cầu não phải ít vận động. Vị trí xuất huyết não ở người cao tuổi phần lớn là ở bán cầu đại não phải, tức là các mạch máu của bán cầu đại não phải điều khiển các hoạt động của chi trái không được vận động và tương đối mỏng manh. Vì vậy, thường xuyên hoạt động bằng tay trái có thể thúc đẩy chức năng của não phải, tăng cường tính đàn hồi của mạch máu ở bán cầu đại não phải, ngăn ngừa hiệu quả các bệnh về mạch máu não.
Theo dõi huyết áp cao
Huyết áp cao là nguyên nhân chính dẫn đến xuất huyết não, vì vậy việc phòng ngừa xuất huyết não chủ yếu là kiểm soát huyết áp. Mục đích chính của việc này là kiểm soát huyết áp ở mức ổn định, tránh tác hại của dao động huyết áp lên thành mạch máu.
Phạm vi huyết áp bình thường là huyết áp tâm thu trong khoảng 90-140mmHg (12.0-18.7kpa), huyết áp tâm trương từ 60-90mmHg (8.0-12.0kpa), cao hơn phạm vi này có thể là huyết áp cao, thấp hơn phạm vi này có thể là hạ huyết áp.
Đọc tiếp cùng chuyên mục
Hai dấu hiệu cần nhập viện ngay khi mắc cúm A
 
                                            Phòng bệnh - 11/02/2025
Hai dấu hiệu cần nhập viện ngay khi mắc cúm A
Nhiều người đi tiêm vaccine cúm, sau tiêm bao lâu có tác dụng?
 
                                            Phòng bệnh - 11/02/2025
Nhiều người đi tiêm vaccine cúm, sau tiêm bao lâu có tác dụng?
Cần làm gì khi mắc cúm A?
 
                                            Phòng bệnh - 10/02/2025
Cần làm gì khi mắc cúm A?
Biến chứng đái tháo đường có nghiêm trọng?
 
                                            Phòng bệnh - 27/12/2024
Biến chứng đái tháo đường có nghiêm trọng?
Cảnh giác đột quỵ, nhồi máu cơ tim khi trời trở rét
 
                                            Phòng bệnh - 10/12/2024
Cảnh giác đột quỵ, nhồi máu cơ tim khi trời trở rét




