Tin tức & chuyên gia
Thêm hai ca nhiễm nCoV
Y tế 24h - 12/10/2020
Chiều 11/10, Bộ Y tế ghi nhận hai ca dương tính nCoV, đều là ca nhập cảnh, được cách ly ngay tại tỉnh Đồng Nai và Hải Dương.
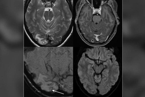
Cô gái đau đầu nhiều năm do có tổ sán trong não
Y tế 24h - 12/10/2020
Cô gái trẻ đến viện trong tình trạng đau đầu dữ dội, khi bác sĩ phẫu thuật bóc u não, phát hiện bên trong đầy sán.
Tạm đình chỉ bác sĩ phẫu thuật khiến bệnh nhân tử vong
Y tế 24h - 12/10/2020
Trong lúc khâu vết thương sau ca phẫu thuật chữa thoát vị địa đệm, nữ bệnh nhân ở Bình Dương bất ngờ tụt huyết áp dẫn đến tử vong.
Vụ sóng đánh chìm tàu Vietship 01: Sức khỏe thuyền viên ra sao?
Y tế 24h - 12/10/2020
Các thuyền viên trên tàu Vietship 01 được cứu hộ sáng nay (11/10) đang được ngành Y tế Quảng Trị chăm sóc đặc biệt.
Ngã vào gầm xe buýt đa chấn thương
Y tế 24h - 11/10/2020
TP HCM - Trong cơn mưa to, nam thanh niên 23 tuổi chạy xe máy va quẹt với xe buýt, ngã vào gầm xe, bất tỉnh, trụy tim mạch, đa chấn thương.
Loét âm hộ do ngâm nước pha tỏi
Y tế 24h - 11/10/2020
Cô gái 22 tuổi ngứa vùng kín, được "lang băm" khuyên điều trị bằng cách giã tỏi pha với nước, ngâm mình vào, hậu quả bị loét âm hộ.
Thêm hai ca nhiễm nCoV
Y tế 24h - 11/10/2020
Bộ Y tế chiều 10/10 ghi nhận thêm 2 ca dương tính nCoV, đều là người nhập cảnh được cách ly ngay tại Bạc Liêu và TP HCM.
'Cha đỡ' của những sản phụ mang HIV/AIDS
Blog chuyên gia - 11/10/2020
HÀ NỘI - Tim thai nhi ngừng đập trước một tuần dự sinh, bác sĩ Vũ cố kìm cảm xúc rồi chỉ huy kíp trực gây chuyển dạ lấy thai ra, bảo vệ mẹ.
Vì sao người trẻ bị đột quỵ não nhiều lên?
Y tế 24h - 09/10/2020
Béo phì, lười vận động, uống nhiều rượu bia, đái tháo đường và tăng huyết áp là những nguyên nhân khiến số người trẻ bị đột quỵ não tăng lên.
Một người về từ Nga mắc Covid-19
Y tế 24h - 09/10/2020
Bộ Y tế chiều 8/10 ghi nhận một ca dương tính nCoV, là thanh niên trở về từ Nga, được cách ly tại Bạc Liêu ngay sau khi nhập cảnh.
Ruột non lạc lên khoang màng phổi
Y tế 24h - 09/10/2020
PHÚ THỌ - Thay vì nằm ở ổ bụng, ruột non bệnh nhi 9 tuổi chui qua khe hoành, nằm trọn lên khoang màng phổi.
Nữ bệnh nhân tử vong bất thường khi phẫu thuật ở bệnh viện
Y tế 24h - 09/10/2020
Nữ bệnh nhân 39 tuổi tử vong trong lúc được thực hiện phẫu thuật trị đau lưng tại một bệnh viện ở Bình Dương.



