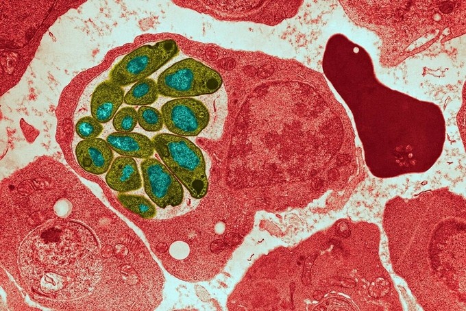
Ký sinh trùng sốt rét ẩn náu trong máu vào mùa khô
Hàng năm, khoảng 400.000 người tử vong vì sốt rét trên thế giới, phần lớn là trẻ em, phụ nữ mang thai Châu Phi. Các ca nhiễm và tử vong thường xảy ra vào mùa mưa, khi số lượng muỗi tăng cao. Song, vào mùa khô, ít muỗi hơn, ký sinh trùng sốt rét vẫn tồn tại.
Theo nghiên cứu của các nhà khoa học Đức và Mali, đăng trên tạp Chí Nature Medicine hôm 26/10, ký sinh trùng sốt rét có thể tự thay đổi yếu tố di truyền, ẩn náu trong máu người bệnh nhiều tháng mà không bị phát hiện.
Các nhà khoa học lấy mẫu máu của gần 600 trẻ em, thanh niên tại huyện Kalifabougou, Mali. Nơi này có hai mùa mưa, khô rõ rệt. Kết quả, khoảng 20% có ký sinh trùng ẩn náu trong tế bào máu, dù số lượng rất ít, không thể nhìn thấy dưới kính hiển vi.
Khi xâm nhập cơ thể người, ký sinh trùng sốt rét thay đổi cơ chế hoạt động của tế bào hồng cầu. Các protein dính được tạo ra, bám vào thành tĩnh mạch, động mạch, thay vì trôi xuống lá lách và bị tiêu diệt. Nghiên cứu mới phát hiện cơ chế này thay đổi theo mùa.
Mỗi ký sinh trùng sốt rét có thể tạo ra 60 biến thể protein di chuyển tới bề mặt tế bào. Thông thường, cứ vài ngày, chúng thay một protein mới, nhằm thoát khỏi các kháng thể do phản ứng miễn dịch vật chủ tạo ra.
Mùa mưa ở Châu Phi có thể cướp đi sinh mạng nhiều người. Lượng ký sinh trùng sốt rét dồi dào khiến tế bào hồng cầu sản sinh protein dính, làm kẹt các mao mạch trong não, gây "sốt rét thể não" có thể dẫn đến tử vong.
Vào mùa khô, ký sinh trùng trong tế bào hồng cầu ngưng tạo các protein dính, trôi xuống lá lách và bị tiêu diệt. Tuy nhiên, một lượng nhỏ vẫn bám vào thành mạch, tự làm chậm quá trình trao đổi chất để sống sót.
Hiện tượng này khiến hệ miễn dịch không thể nhận ra và tiêu diệt mầm bệnh, Sylvia Portugal, chuyên gia về sốt rét tại Viện Sinh học Nhiễm trùng Max Planck, Berlin, lý giải. Ngoài ra, lượng tế bào dính không đủ để làm tắc nghẽn các mao mạch não, tỷ lệ tử vong ở người bệnh rất thấp, trong đó bao gồm cả trẻ em.
"Ký sinh trùng sốt rét không thể khiến người bệnh tử vong vào mùa khô", Portugal nói.
Sarah K. Volkman, chuyên gia hàng đầu về bệnh sốt rét tại Đại học Y tế Cộng đồng Harvard T.H. Chan, đánh giá cao tầm quan trọng của nghiên cứu. Trước đó, bà phát hiện các thể ký sinh trùng sốt rét luôn tồn tại trong một ngôi làng ở Senegal suốt 10 năm, song chưa giải thích được nguyên nhân. Bà nhấn mạnh phát hiện mới có thể mở ra hướng tiêu diệt ký sinh trùng sốt rét khi chúng yếu nhất.
"Nghiên cứu cung cấp dữ liệu cụ thể về những điều chúng tôi nghĩ là đúng, chẳng hạn nhiễm trùng mùa khô không kích thích phản ứng miễn dịch mạnh", Miriam K. Laufer, chuyên gia bệnh sốt rét tại Đại học Maryland nhận định.
Song, tiến sĩ Nicholas J. White, giám đốc đơn vị nghiên cứu bệnh sốt rét có trụ sở tại Đại học Oxford tỏ ra dè dặt hơn. Ông dẫn chứng phát hiện về ký sinh trùng mùa khô từng được các nhà khoa học Việt Nam chỉ ra trước đó, cho rằng chúng có thể chỉ đơn giản "thay áo" trong các chu kỳ để tránh bị hệ miễn dịch nhận diện.Ông và nhiều chuyên gia khác nhất trí cần có thêm nghiên cứu sâu về vấn đề này.
Lê Hằng (Theo NY Times)
Đọc tiếp cùng chuyên mục
Điều khác biệt của mùa sốt xuất huyết năm nay
Y học thường thức - 06/08/2024
Điều khác biệt của mùa sốt xuất huyết năm nay
Xuất hiện ổ dịch bệnh sởi tại Đắk Lắk
Y học thường thức - 16/07/2024
Xuất hiện ổ dịch bệnh sởi tại Đắk Lắk
Xử trí kiến ba khoang đốt, tránh để lại sẹo thâm
Y học thường thức - 03/07/2024
Xử trí kiến ba khoang đốt, tránh để lại sẹo thâm
Trẻ béo phì có vệt đen vùng cổ, có đáng lo?
Y học thường thức - 28/05/2024
Trẻ béo phì có vệt đen vùng cổ, có đáng lo?
Chớ chủ quan với bệnh giời leo
Y học thường thức - 02/05/2024
Chớ chủ quan với bệnh giời leo




