• Tiếng Việt
  • English
  • thứ tư, 01/04/2026, 01:34 (GMT+7)

Y học thường thức

Giữa dịch Covid-19, sử dụng nước rửa tay khô và xà phòng loại nào an toàn hơn?

Giữa dịch Covid-19, sử dụng nước rửa tay khô và xà phòng loại nào an toàn hơn?

Y học thường thức -  15/03/2020

Mặc dù hầu hết trong số chúng ta đều rửa tay hằng ngày, nhưng rửa tay đủ 20-30 giây với xà phòng thì thật là “hiếm có khó tìm”. Tuy nhiên, rồi đây có lẽ mọi người đều sẽ quen dần thôi, vì tất cả đều đ...

Quy định mới về nhập cảnh: Ai phải xét nghiệm Covid-19, cách ly tập trung?

Quy định mới về nhập cảnh: Ai phải xét nghiệm Covid-19, cách ly tập trung?

Y học thường thức -  15/03/2020

Dự kiến, sẽ có rất nhiều HS-SV, người lao động... về từ vùng dịch Covid-19, BCĐ Quốc gia đề nghị các địa phương, bộ ngành tăng cường cách ly....

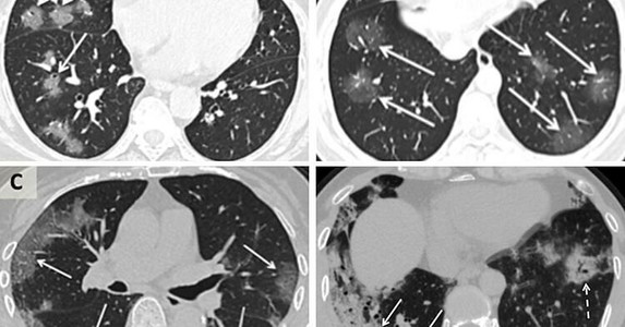
nCoV tác động cơ thể người như thế nào?

nCoV tác động cơ thể người như thế nào?

Y học thường thức -  14/03/2020

Diễn tiến nCoV xâm nhập phổi Tiến sĩ Shu-Yuan Xiao, giáo sư bệnh học tại Đại học Y khoa Chicago kiêm giám đốc của Trung tâm chẩn đoán bệnh học và phâ...

Thêm bằng chứng nCoV lây nhiễm khi ủ bệnh

Thêm bằng chứng nCoV lây nhiễm khi ủ bệnh

Y học thường thức -  14/03/2020

Nhân viên y tế kiểm tra thân nhiệt một người đàn ông ở thành phố Kuwait ngày 12/3. Ảnh: Guardian. Phân tích của các nhà nghiên cứu ở Đại học...

Hướng dẫn phòng nCoV ở chung cư

Hướng dẫn phòng nCoV ở chung cư

Y học thường thức -  14/03/2020

Ảnh minh họa Bộ Y tế ngày 12/3 ban hành Hướng dẫn phòng chống dịch Covid-19 tại chung cư.  Với người dân cần thực hiện đầy đủ các biện pháp...

Máy khử khuẩn phòng Covid-19 của Việt Nam chế tạo thế nào?

Máy khử khuẩn phòng Covid-19 của Việt Nam chế tạo thế nào?

Y học thường thức -  14/03/2020

Viện Sức khỏe nghề nghiệp và môi trường phối hợp với Đại học Bách khoa Hà Nội lên ý tưởng, thiết kế, chế tạo thành công buồng khử khuẩn di độn...

Thói quen dùng điện thoại khi đi vệ sinh khiến việc rửa tay phòng Covid-19 hóa thành công cốc

Thói quen dùng điện thoại khi đi vệ sinh khiến việc rửa tay phòng Covid-19 hóa thành công cốc

Y học thường thức -  14/03/2020

Để phòng tránh virus Covid-19, hầu hết mọi người đều được khuyên rằng nên sử dụng khẩu trang mọi lúc mọi nơi, nhất là khi đến những nơi công cộng. Mặc...

Phân loại người nhiễm, nghi nhiễm nCoV

Phân loại người nhiễm, nghi nhiễm nCoV

Y học thường thức -  13/03/2020

(Theo Trường Đại học Y tế Công cộng) Nguồn: https://vnexpress.net/suc-khoe/phan-loai-nguoi-nhiem-nghi-nhiem-ncov-4068454.html

Khám cho bệnh nhân Covid-19 từ xa

Khám cho bệnh nhân Covid-19 từ xa

Y học thường thức -  13/03/2020

Trung tâm Y tế Đại học Rush, Chicago, tiếp nhận cuộc điện thoại của một bệnh nhân nghi nhiễm. Người này cho biết mình đã đi du lịch Tokyo gần đây và s...

Lịch tiêm chủng Bộ Y tế Việt Nam