Bệnh nhân Covid-19 nặng nhất Singapore thoát khỏi tử thần
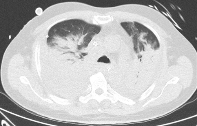
Ông Toh bắt đầu có triệu chứng từ ngày 7/3 sau khi trở về từ Thái Lan. Ông đến hai phòng khám tư để điều trị vào hai ngày sau đó nhưng không có tiến triển. Ngày 12/3, ông được đưa đến bệnh viện Khoo Teck Puat. Kết quả xét nghiệm cho thấy ông Toh dương tính với nCoV. Phổi của ông bị viêm và tràn dịch.
Hai ngày sau, ông Kiat được đặt nội khí quản do nồng độ oxy trong máu thấp. Tuy nhiên, tình trạng sức khỏe của ông Toh không cải thiện. Ông được chuyển đến Bệnh viện Đại học Quốc gia Singapore vào ngày 17/3 để can thiệp ECMO (oxy hóa qua màng ngoài cơ thể).
Tại đây, ông Toh đối mặt với tử thần khi ngưng tim 16 phút. Sau những nỗ lực của các bác sĩ, may mắn tim của ông đã đập trở lại nhờ được hồi sức tim phổi.
Tình trạng thiếu oxy trong máu ảnh hưởng đến các cơ quan khác trong cơ thể như thận và gan, khiến ông phải điều trị lọc máu tạm thời.
"Khi tôi tỉnh dậy, nhiều ngày sau đó vẫn tôi không thể nói chuyện được, có rất nhiều dây ống nối vào người tôi, rất nhiều thiết bị xung quanh, tôi cảm thấy mình như sắp chết", ông Toh nhớ lại.
Gia đình ông Toh sống trong những ngày tháng thấp thỏm trước bệnh tình của ông. "Chúng tôi đã đi từ thiên đường xuống địa ngục khi ông ấy khỏe lại, rồi vài ngày sau mọi thứ tan vỡ, khi bệnh của ông trở nặng," con trai ông Toh chia sẻ.
Cuối cùng, sau quá trình điều trị dài ngày, tình hình của ông Toh cũng đã được cải thiện, ông được tháo máy thở vào ngày 26/3, chuyển đến phòng cách ly ngày 6/4. Đến ngày 22/4, ông đã được xuất viện về nhà sau 42 ngày điều trị.
"Tôi muốn nói cảm ơn tất cả các nhân viên y tế đã chăm sóc cho tôi và tạo điều kiện cho gia đình vào thăm lúc tôi nguy kịch. Dịch bệnh này rất nguy hiểm. Tôi là một người rất khỏe mạnh và năng động, nhưng cũng đã bị nhiễm bệnh. Vì vậy bất kỳ ai cũng có thể bị lây nhiễm. Tôi rất biết ơn khi được tiếp tục cuộc sống này", ông Toh chia sẻ.
Ông Toh là bệnh nhân Covid-19 thứ 188 và cũng là bệnh nhân nặng nhất tại Singapore. Ông là trường hợp đầu tiên của Bệnh viện Đại học Quốc gia Singapore có can thiệp ECMO được xuất viện.
Singapore là một trong những nước có số ca nhiễm nCoV cao nhất châu Á, chủ yếu là do dịch bùng phát tại các khu ký túc xá cho lao động nhập cư. Tính đến ngày 11/5, nước này ghi nhận 23.336 ca nhiễm và 20 ca tử vong do nCoV.
Lê Cầm (Theo Straits Times)
Tin lên quan
Đọc tiếp cùng chuyên mục
Hai người nguy kịch vì sốt mò
Y tế 24h - 16/09/2025
Hai người nguy kịch vì sốt mò
Bệnh nhân ghép tim - phổi thành công đầu tiên tại Việt Nam xuất viện
Y tế 24h - 10/09/2025
Bệnh nhân ghép tim - phổi thành công đầu tiên tại Việt Nam xuất viện
Bé trai 15 tháng tuổi tổn thương phổi nặng vì uống phải tinh dầu đuổi muỗi
Y tế 24h - 07/08/2025
Bé trai 15 tháng tuổi tổn thương phổi nặng vì uống phải tinh dầu đuổi muỗi
Người đàn ông da vàng như nghệ, hôn mê vì lý do này
Y tế 24h - 10/02/2025
Người đàn ông da vàng như nghệ, hôn mê vì lý do này
Liệt nửa người sau mũi tiêm trị đau vai gáy ở phòng khám tư
Y tế 24h - 15/01/2025
Liệt nửa người sau mũi tiêm trị đau vai gáy ở phòng khám tư




