Cứu kịp thời bệnh nhân bị tắc nghẽn đường thở do gãy canyun mở khí quản
Bệnh nhân Nguyễn Mạnh T (67 tuổi, ở Thanh Hóa) có tiền sử hẹp khí quản sau tai nạn giao thông, được mở khí quản vĩnh viễn 11 năm trước. Bệnh nhân được hướng dẫn và tự thay nòng của canuyn mở khí quản hàng ngày. Từ khi mở khí quản, bệnh nhân không đi khám và chưa thay canuyn lần nào.
Khoảng 14 giờ ngày 17/10, bệnh nhân ho cơn, gãy canuyn mở khí quản và rơi vào trong đường thở, được cấp cứu tại Bệnh viện tỉnh Thanh Hóa. Bệnh nhân còn khó thở nhiều, ho đờm, không sốt, đau tức ngực.
Sau đó, bệnh nhân được chuyển Bệnh viện Hữu nghị Việt Đức, chẩn đoán dị vật khí quản, phế quản gốc (P); tiên lượng khó khăn trong can thiệp lấy dị vật và được chuyển đến Trung tâm Hô hấp, Bệnh viện Bạch Mai trong tình trạng tỉnh, ho đờm, không sốt, khó thở nhẹ, huyết động ổn định.
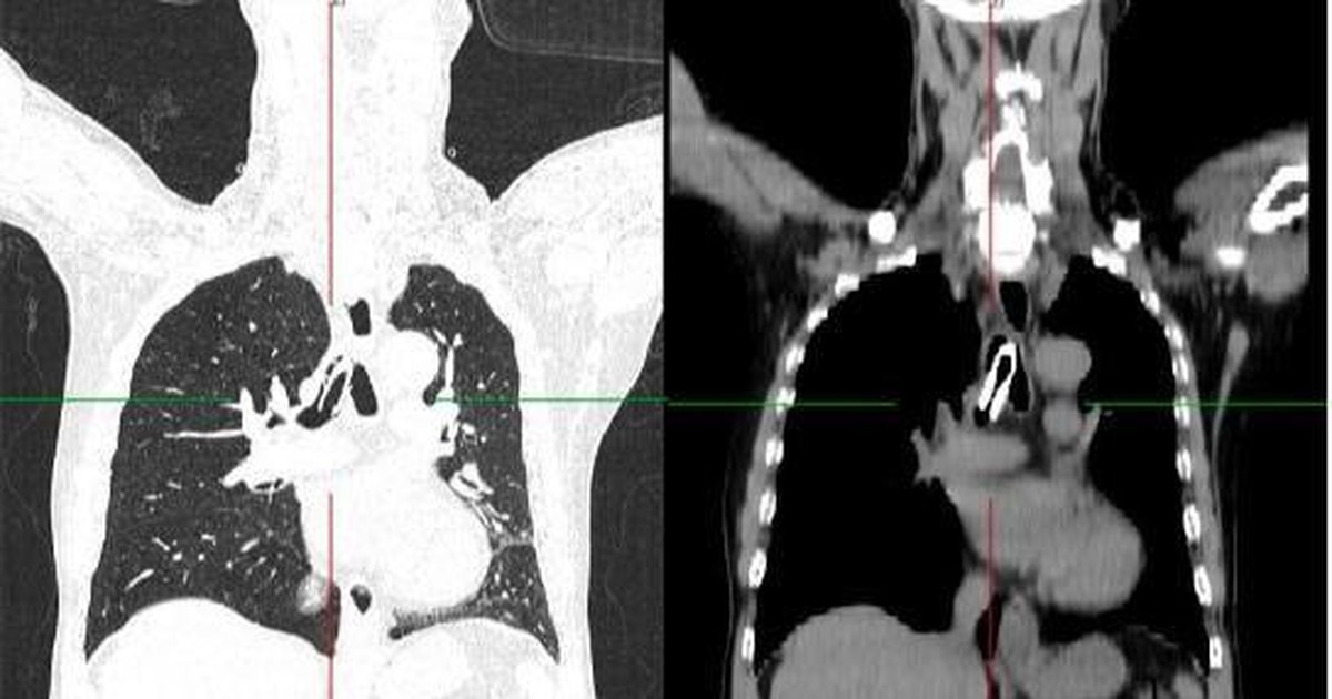
Chụp cắt lớp vi tính ngực có dựng hình khí phế quản cho thấy hình ảnh dị vật dạng ống trong khí quản và phế quản gốc, tắc hoàn toàn khí quản phía trên lỗ mở khí quản.
Các bác sĩ nhận định đây là ca bệnh khó vì dị vật là đoạn canuyn mở khí quản có kích thước lớn, trên nền bệnh nhân đã được can thiệp khí quản nhiều lần nên việc lấy dị vật rất khó khăn.
Khoảng 11 giờ ngày 18/10, Trung tâm Hô hấp đã tiến hành hội chẩn toàn viện cho bệnh nhân, chẩn đoán của Hội đồng hội chẩn: Dị vật phế quản gốc (P) (đoạn canuyn gãy)/Sẹo hẹp khí quản đã phẫu thuật cắt đoạn khí quản, mở khí quản vĩnh viễn sau phẫu thuật, tăng huyết áp, đái tháo đường typ 2, Gút mạn, suy thận.
Bệnh nhân được chỉ định can thiệp cấp cứu lấy dị vật qua nội soi phế quản ống cứng với sự phối hợp của các bác sĩ Trung tâm Hô hấp, Khoa Phẫu thuật lồng ngực và mạch máu, Khoa Tai mũi họng, Trung tâm Gây mê hồi sức.
Chia sẻ về ca bệnh này, PGS, TS Phan Thu Phương, Giám đốc Trung tâm Hô hấp cho biết: Vì bệnh nhân bị tắc hoàn toàn khí quản nên không thể đặt ống cứng theo cách thông thường là qua đường miệng và cách duy nhất là đặt ống cứng qua lỗ mở khí quản và chuẩn bị sẵn sàng phương án giải quyết các tình huống phát sinh.
Vì lỗ mở khí quản nhỏ nên dự kiến bác sĩ chuyên khoa Tai Mũi Họng sẽ nong rộng lỗ mở khí quản để các bác sĩ chuyên khoa Hô hấp đặt ống cứng qua đường này để lấy dị vật.
Trường hợp không đặt được ống cứng để lấy dị vật hoặc việc lấy dị vật khó khăn thì bác sĩ Khoa Phẫu thuật lồng ngực và mạch máu sẽ mở lồng ngực để can thiệp.
Đến 13 giờ 30 phút ngày 18/10, bệnh nhân được can thiệp nội soi phế quản ống cứng lấy dị vật. Sau 2 giờ làm việc căng thẳng, với sự tập trung cao độ của đội ngũ y bác sĩ, dị vật (đoạn canuyn gãy) đã được lấy ra, bệnh nhân ổn định và được chuyển lại Trung tâm Hô Hấp tiếp tục theo dõi.
Ngày 20/10, sau 2 ngày can thiệp, bệnh nhân tỉnh, không khó thở, không sốt, còn ho ít đờm, sức khỏe ổn định và đã được xuất viện vào ngày 25/10 trong niềm vui của gia đình và các thầy thuốc.
Theo Thạc sĩ, bác sĩ Phạm Thị Phương Anh, bác sĩ trực tiếp điều trị cho bệnh nhân chia sẻ: Những trường hợp như thế này khá hiếm gặp, tuy nhiên cũng cần đề phòng để tránh những trường hợp tương tự ở bệnh nhân mở khí quản.
Thông qua ca bệnh này, bác sĩ cũng có những lời khuyên cho bệnh nhân mở khí quản, phải thường xuyên vệ sinh canuyn và đến cơ sở y tế để thay canuyn mở khí quản định kỳ, tránh để quá lâu dẫn đến gãy canyun rơi vào đường thở.
Đọc tiếp cùng chuyên mục
Hai người nguy kịch vì sốt mò
Y tế 24h - 16/09/2025
Hai người nguy kịch vì sốt mò
Bệnh nhân ghép tim - phổi thành công đầu tiên tại Việt Nam xuất viện
Y tế 24h - 10/09/2025
Bệnh nhân ghép tim - phổi thành công đầu tiên tại Việt Nam xuất viện
Bé trai 15 tháng tuổi tổn thương phổi nặng vì uống phải tinh dầu đuổi muỗi
Y tế 24h - 07/08/2025
Bé trai 15 tháng tuổi tổn thương phổi nặng vì uống phải tinh dầu đuổi muỗi
Người đàn ông da vàng như nghệ, hôn mê vì lý do này
Y tế 24h - 10/02/2025
Người đàn ông da vàng như nghệ, hôn mê vì lý do này
Liệt nửa người sau mũi tiêm trị đau vai gáy ở phòng khám tư
Y tế 24h - 15/01/2025
Liệt nửa người sau mũi tiêm trị đau vai gáy ở phòng khám tư




