Hơn 100 polyp trong ruột người phụ nữ
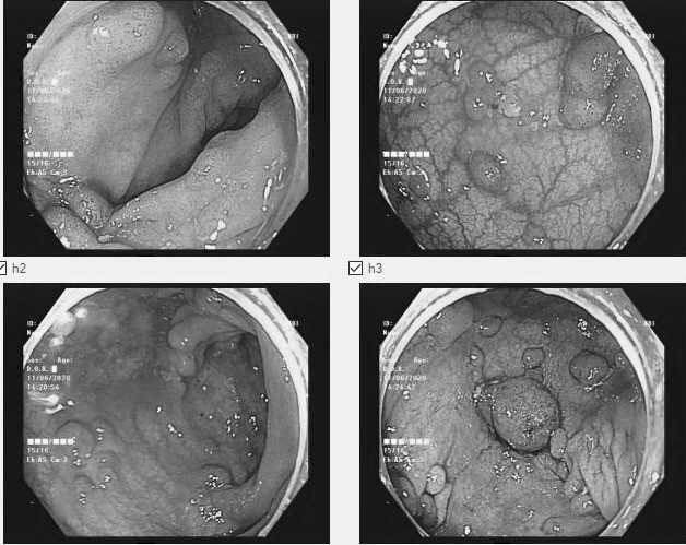
Bác sĩ Nguyễn Văn Dũng, Trưởng Khoa Ung bướu 1, Bệnh viện Bãi Cháy, cho biết trên 100 polyp với các kích thước, hình dáng khác nhau tồn tại trên manh tràng, trực tràng và đại tràng bệnh nhân. Polyp lớn nhất đường kính trên 2 cm, bề mặt nhiều mạch máu nuôi, có vùng mất cấu trúc tuyến và chảy máu tự nhiên. Trực tràng có u sùi nham nhở, dễ chảy máu ở đoạn sát ống hậu môn đến đoạn cách rìa hậu môn 8 cm. Kết quả sinh thiết cho thấy bệnh nhân bị ung thư.
"Đây là ca đa polyp đại trực tràng đã ung thư hóa, xâm lấn tổ chức xung quanh", bác sĩ Dũng nói. Bệnh nhân phải cắt toàn bộ đại tràng, cắt cụt trực tràng và nạo vét hạch, tạo hậu môn nhân tạo.
Ca phẫu thuật kéo dài 4 giờ, các bác sĩ cố gắng tránh tổn thương mạch máu lớn, đảm bảo vét hạch rộng, kiểm soát biến chứng mất máu, nhiễm khuẩn, nhiễm trùng vết mổ, mất dịch điện giải do cắt bỏ đại tràng. Thời gian mổ được rút ngắn nhưng vẫn đảm bảo tối ưu, ngăn chặn ung thư di căn, giúp người bệnh thoát nguy cơ tử vong, kéo dài thời gian sống.
Ngày 10/7, bệnh nhân sức khỏe ổn định và tiếp tục hóa, xạ trị, phòng ngừa tái phát ung thư.
Polyp đại tràng là một khối phát triển bất thường trên bề mặt ruột già, có thể tồn tại trong lòng ruột, trong thành ruột hay ở bề mặt bên ngoài. Một người có thể có nhiều hơn một polyp đại tràng. Đa phần Polyp đại tràng ở dạng lành tính. Tuy nhiên theo thời gian, một số polyp có thể thay đổi cấu trúc, trở nên ác tính. Đặc biệt, đa polyp đại tràng khiến lòng ống tiêu hóa xuất hiện hàng trăm polyp. Tất cả có thể trở thành ung thư, phải loại bỏ ngay khi phát hiện, ngăn chặn nguy cơ ung thư hóa.
Polyp và ung thư đại trực tràng gặp nhiều người trong gia đình, cho thấy có yếu tố di truyền. Vì vậy, bác sĩ khuyến cáo người dân nên khám sức khỏe định kỳ 6 tháng một lần, tầm soát ung thư đại tràng tại các cơ sở y tế chuyên khoa uy tín. Nếu một người trong gia đình mắc đa polyp đại tràng, ung thư đại tràng thì người thân ruột thịt như bố, mẹ, con, anh, chị, em ruột phải đi khám sàng lọc ung thư càng sớm càng tốt.
Để tránh nguy cơ mắc bệnh đại trực tràng, nên ăn thực phẩm đảm bảo vệ sinh, ăn chín uống sôi, hạn chế thức ăn chiên dầu, mỡ. Xây dựng thói quen ăn uống, sinh hoạt, nghỉ đúng giờ, tránh áp lực, stress trong công việc.
Chi Lê
Đọc tiếp cùng chuyên mục
Hai người nguy kịch vì sốt mò
Y tế 24h - 16/09/2025
Hai người nguy kịch vì sốt mò
Bệnh nhân ghép tim - phổi thành công đầu tiên tại Việt Nam xuất viện
Y tế 24h - 10/09/2025
Bệnh nhân ghép tim - phổi thành công đầu tiên tại Việt Nam xuất viện
Bé trai 15 tháng tuổi tổn thương phổi nặng vì uống phải tinh dầu đuổi muỗi
Y tế 24h - 07/08/2025
Bé trai 15 tháng tuổi tổn thương phổi nặng vì uống phải tinh dầu đuổi muỗi
Người đàn ông da vàng như nghệ, hôn mê vì lý do này
Y tế 24h - 10/02/2025
Người đàn ông da vàng như nghệ, hôn mê vì lý do này
Liệt nửa người sau mũi tiêm trị đau vai gáy ở phòng khám tư
Y tế 24h - 15/01/2025
Liệt nửa người sau mũi tiêm trị đau vai gáy ở phòng khám tư




