Người đàn ông đột quỵ sau khi giác hơi chữa đau lưng, đau vai gáy tại nhà
Chiều 4/6, thông tin từ Bệnh viện Quân y 175 cho biết, vừa điều trị thành công bệnh nhân N.V.S (35 tuổi, ngụ TP.HCM) bị đột quỵ, nguyên nhân xuất phát từ việc điều trị giác hơi không an toàn tại nhà.
Được biết, anh S đang khỏe mạnh, mới đây được chuyển vào Khoa Cấp cứu Bệnh viện Quân y 175 trong tình trạng ý thức lơ mơ, mất ngôn ngữ toàn bộ, liệt hoàn toàn nửa người phải, trên da vùng cổ bên trái vẫn in hằn dấu tích dụng cụ giác hơi.

Ê-kíp bác sĩ Bệnh viện Quân y 175 cấp cứu bệnh nhân giác hơi không an toàn tại nhà dẫn đến đột quỵ nguy kịch.
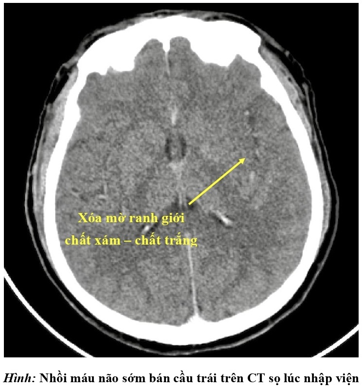
Ngay lập tức, bệnh viện kích hoạt quy trình báo động đột quỵ (code stroke). Khẩn trương thăm khám lâm sàng và cận lâm sàng, các bác sĩ chẩn đoán bệnh nhân bị đột quỵ nhồi máu não bán cầu trái giờ thứ 2 do tắc động mạch cảnh trong trái và động mạch não giữa trái bởi huyết khối.
Ngay sau can thiệp, bệnh nhân tiếp tục được săn sóc điều trị nội khoa tích cực tại Khoa Nội thần kinh. Chưa đầy 48 giờ, bệnh nhân hồi phục hoàn toàn ý thức và sức cơ.
10 ngày sau đó, chức năng ngôn ngữ nhận thức hồi phục hoàn toàn, chỉ còn một vài khiếm khuyết chức năng ngôn ngữ vận động và đang trong lộ trình điều trị âm ngữ trị liệu phục hồi chức năng.
Bác sĩ Tạ Vương Khoa, Trưởng ê-kíp can thiệp mạch đơn vị can thiệp thần kinh, Khoa Nội thần kinh của bệnh viện cho biết, đây là một trường hợp đột quỵ rất nặng và phức tạp, thuộc dạng ca lâm sàng hiếm gặp trên thế giới.


Hình chụp CT của bệnh nhân S.
Toàn bộ bán cầu não bên trái bị ngừng cung cấp máu, đe dọa nghiêm trọng tính mạng bệnh nhân, các bác sĩ phải chạy đua với thời gian cứu chữa người bệnh.
"Điều đáng nói trong trường hợp bệnh nhân này là giác hơi liệu pháp, một phương pháp trị liệu có từ lâu đời và được sử dụng rất phổ biến trong dân gian, lại là nguyên nhân trực tiếp gây bóc tách động mạch cảnh trong", bác sĩ Khoa chia sẻ.
Theo Bệnh viện Quân y 175, nguyên lý của liệu pháp giác hơi là tạo áp suất âm trong những chiếc cốc chuyên dụng gắn trên da để sinh lực hút, lực hút có thể rất mạnh tùy theo kỹ năng hoặc mong muốn của người điều trị và người được điều trị.
Vì vậy khuyến cáo tránh đặt trên những vùng cơ thể có da và cơ mỏng, mạch máu đi nông nhằm tránh nguy cơ gây sang chấn mạch máu.
Bệnh viện Quân y 175 cũng từng tiếp nhận những trường hợp đột quỵ, bao gồm các trường hợp đột quỵ nguy kịch, do chấn thương gây bóc tách động mạch vùng cổ, cả động mạch cảnh trong lẫn động mạch đốt sống, sau động tác "bẻ cổ" của người thợ hớt tóc, nhân viên mát xa… cho khách hàng của mình, hoặc đơn giản chỉ là sau các động tác xoay lắc, gập ưỡn cổ quá mức của chính người bệnh.
Nguồn: https://www.baogiaothong.vn/nguoi-dan-ong-dot-quy-sau-khi-giac-hoi-chua-dau-lung-dau-vai-gay-tai-nha-192240604130345439.htm
Tin liên quan
Đọc tiếp cùng chuyên mục
Người đàn ông suýt mất chân vì đắp lá chữa bỏng lửa
Y tế 24h - 18/03/2026
Ngày 12/3, Bệnh viện Bệnh nhiệt đới Trung ương cho biết, tại đây mới tiếp nhận 1 bệnh nhân 44 tuổi, người dân tộc thiểu số ở Tuyên Quang, tổn thương...
Cẩn trọng về bút tiêm giảm cân: Chúng không phải sản phẩm làm đẹp hay thực phẩm chức năng
Y tế 24h - 18/03/2026
Sự thật về bút tiêm "giảm cân" Trên mạng xã hội trong thời gian gần đây lại tràn lan quảng cáo về bút tiêm "giảm cân" với chỉ dẫn tiêm mỗi tuần một...
Tưởng chỉ sốt viêm họng, nữ sinh bất ngờ nguy kịch vì "siêu vi khuẩn" tấn công
Y tế 24h - 18/03/2026
Ngày 16/3, các bác sĩ Bệnh viện Bệnh nhiệt đới Trung ương vừa cấp cứu 1 nữ sinh nhập viện trong tình trạng nguy kịch do "siêu vi khuẩn" tụ cầu vàng...
Liên tiếp các ca uốn ván co cứng hàm, cơ toàn thân nhập viện
Y tế 24h - 05/03/2026
Hệ lụy từ vết thương nhỏ ThS.BS Phạm Thanh Bằng. Bệnh viện Bệnh nhiệt đới cho biết, gần đây bệnh viện tiếp nhận nhiều bệnh nhân uốn ván, nhập vi...