Sốc nhiễm khuẩn do nghiện rượu
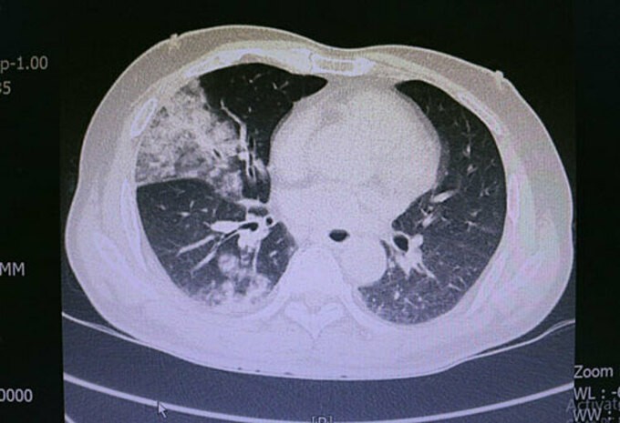
Người bệnh nghiện rượu rất nhiều năm. Trước khi vào viện hai ngày, ông sốt, ho đờm lẫn máu, đau ngực, mệt mỏi, ăn kém.
Các bác sĩ Khoa Hồi sức tích cực Nội chẩn đoán bệnh nhân bị sốc nhiễm khuẩn, viêm phổi nặng trên nền bệnh đái tháo đường tuýp 2, nghiện rượu.
Bác sĩ Vũ Công Quân cho biết, thông thường, các trường hợp viêm phổi, nhiễm trùng, tế bào bạch cầu trong máu tăng cao để bảo vệ cơ thể. Riêng bệnh nhân này, các tế bào bạch cầu lại giảm rất nhanh, là sự mất khả năng tự bảo vệ của cơ thể.
Sau khi hội chẩn, các bác sĩ sử dụng kháng sinh mạnh nhất, lọc máu liên tục, thở máy và kết hợp với các biện pháp điều trị nội khoa. Bệnh nhân hiện vẫn trong tình trạng nguy kịch, tiên lượng thời gian điều trị kéo dài và chi phí rất tốn kém.
Theo bác sĩ, người nghiện rượu nhiều năm, đặc biệt đã ở giai đoạn xơ gan, nếu bị viêm phổi thì bệnh thường diễn tiến rất nhanh, tiên lượng nặng. 70-80% bệnh nhân có thể tử vong.
Thúy Quỳnh
Đọc tiếp cùng chuyên mục
Hai người nguy kịch vì sốt mò
Y tế 24h - 16/09/2025
Hai người nguy kịch vì sốt mò
Bệnh nhân ghép tim - phổi thành công đầu tiên tại Việt Nam xuất viện
Y tế 24h - 10/09/2025
Bệnh nhân ghép tim - phổi thành công đầu tiên tại Việt Nam xuất viện
Bé trai 15 tháng tuổi tổn thương phổi nặng vì uống phải tinh dầu đuổi muỗi
Y tế 24h - 07/08/2025
Bé trai 15 tháng tuổi tổn thương phổi nặng vì uống phải tinh dầu đuổi muỗi
Người đàn ông da vàng như nghệ, hôn mê vì lý do này
Y tế 24h - 10/02/2025
Người đàn ông da vàng như nghệ, hôn mê vì lý do này
Liệt nửa người sau mũi tiêm trị đau vai gáy ở phòng khám tư
Y tế 24h - 15/01/2025
Liệt nửa người sau mũi tiêm trị đau vai gáy ở phòng khám tư




