Tử vong vì nhiễm nấm Aspergillus fumigatus sau khi ăn mối
Bệnh nhân Ng.T.T (60 tuổi, Hà Nội) về quê Ninh Bình và có qua Hòa Bình mua mối sống về làm món mối rang. Sau khi ăn không hết, bệnh nhân có để thức ăn thừa và lượng mối còn sống vào trong tủ lạnh bên cạnh các thức ăn nhanh sẵn (giò, chả…).
Sau đó 5 ngày, bệnh nhân xuất hiện đau bụng, đi ngoài, tụt huyết áp, được xử trí theo hướng sốc nhiễm khuẩn tại bệnh viện tỉnh nhưng tình trạng không cải thiện. Bệnh nhân sốc nặng lên, suy hô hấp, phải duy trì vận mạch liều rất cao, thở máy nhưng phổi co thắt nhiều, máy thở không thể đẩy khí vào phổi để thông khí được.
Bệnh nhân được chuyển ra Bệnh viện Bạch Mai ngày 30/5 trong tình trạng suy hô hấp rất nặng, phổi không còn bảo đảm được chức năng thông khí ngay cả khi hỗ trợ máy thở tối đa.
Trực tiếp điều trị cho bệnh nhân, bác sĩ Nguyễn Bá Cường - Trung tâm Hồi sức tích cực, Bệnh viện Bạch Mai cho biết, bệnh nhân đã được vào ECMO và tiếp tục các biện pháp hồi sức tích cực: kháng sinh, kháng nấm, lọc máu, vận mạch…
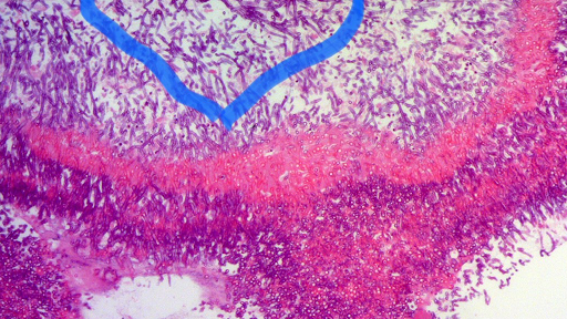
Ngay trong ngày 30/5, bệnh nhân được nội soi phế quản xuất hiện nhiều các mảng giả mạc thùy dưới phổi 2 bên. Với kinh nghiệm điều trị cho nhiều ca phức tạp, các bác sĩ đã nghĩ ngay đến nấm.
Đến ngày 1/6, nội soi phế quản thấy giả mạc phát triển trên toàn bộ niêm mạc đường thở tạo nên các đám sùi và các giả mạc đan xen nhau như mạng nhện lấp kín hết lòng khí phế quản. Ngày 2/6, nội soi thấy các giả mạc bám thành đường thở bong dần ra.
Tất cả các mẫu bệnh phẩm đường thở đều có kết quả nhuộm soi ra nấm sợi, kết quả cấy ra Aspergillus fumigatus, hình ảnh giải phẫu bệnh giả mạc ra Aspergillus fumigatus tập trung nhiều thành đám.
Đến ngày 4/6, mặc dù được các y, bác sĩ tận tình cứu chữa nhưng tình trạng bệnh nhân không cải thiện và bệnh nhân đã tử vong sau 6 ngày điều trị tích cực.
Bác sĩ Cường cho biết, nấm Aspergillus fumigatus là nấm cơ hội ký sinh trên nhiều loại động vật, côn trùng và trong môi trường. Khi cơ thể bị suy giảm miễn dịch (như bị bệnh nặng…) nấm có cơ hội phát triển và gây bệnh với các triệu chứng rất nặng (đặc biệt là hô hấp) với tỷ lệ tử vong rất cao.
Qua trường hợp này, các bác sĩ khuyến cáo người dân không ăn các thức ăn được chế biến từ các loại côn trùng và không nên bảo quản chung với các thực phẩm khác.
Đọc tiếp cùng chuyên mục
Mang cơ hội làm mẹ đến với các bệnh nhân u xơ tử cung
Y tế 24h - 18/12/2025
Mang cơ hội làm mẹ đến với các bệnh nhân u xơ tử cung
Hai người nguy kịch vì sốt mò
Y tế 24h - 16/09/2025
Hai người nguy kịch vì sốt mò
Bệnh nhân ghép tim - phổi thành công đầu tiên tại Việt Nam xuất viện
Y tế 24h - 10/09/2025
Bệnh nhân ghép tim - phổi thành công đầu tiên tại Việt Nam xuất viện
Bé trai 15 tháng tuổi tổn thương phổi nặng vì uống phải tinh dầu đuổi muỗi
Y tế 24h - 07/08/2025
Bé trai 15 tháng tuổi tổn thương phổi nặng vì uống phải tinh dầu đuổi muỗi
Người đàn ông da vàng như nghệ, hôn mê vì lý do này
Y tế 24h - 10/02/2025
Người đàn ông da vàng như nghệ, hôn mê vì lý do này




