Tin tức & chuyên gia
Cơ sở y tế tuyến huyện trở lên phải nắm được phác đồ điều trị Covid-19
Y tế 24h - 11/04/2020
Sáng 11-4, tại Hà Nội, Bộ Y tế tổ chức tập huấn trực tuyến phòng, chống dịch Covid-19 tại các cơ sở khám, chữa bệnh, với sự tham gia của hơn 700 điểm cầu trên cả nước. Tại hội nghị, các chuyên gia tập trung trao đổi, hướng dẫn, chia sẻ kinh nghiệm trong công tác điều trị người bệnh mắc Covid-19; quản lý khám, chữa bệnh phòng, chống dịch Covid-19.
Xử phạt nhân viên y tế tung tin uống trứng gà sống chống dịch bệnh
Y tế 24h - 11/04/2020
Sáng 11-4, UBND huyện miền núi Sơn Hà (Quảng Ngãi) cho biết, cơ quan chức năng vừa xử lý một nhân viên y tế tung tin thất thiệt trên mạng xã hội về phòng, chống dịch Covid-19.
Số ca nhiễm nCoV lên 258
Y tế 24h - 11/04/2020
Bác sĩ Cần Thơ may khẩu trang tặng Mỹ
Y tế 24h - 11/04/2020
Số ca nghi nhiễm tăng nhẹ
Y tế 24h - 11/04/2020
Không xét nghiệm nCoV dịch vụ
Y tế 24h - 11/04/2020
Các phòng xét nghiệm sàng lọc và khẳng định bệnh Covid-19 làm theo yêu cầu của Ban chỉ đạo quốc gia, không được xét nghiệm dịch vụ.
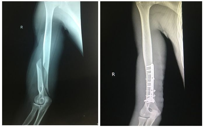
Gãy xương do chơi vật tay
Y tế 24h - 11/04/2020
Thanh niên 19 tuổi bị gãy xương cánh tay khi chơi trò vật tay, có thể cần tới 6 tháng để hồi phục.
Vì sao nữ bệnh nhân Covid-19 dương tính 3 lần sau 2 lần âm tính?
Y tế 24h - 11/04/2020
Cô gái trẻ ở Quảng Ninh đã có 2 lần âm tính liên tiếp với SARS-CoV-2 sau đó lại dương tính trở lại tới 3 lần.
Giám đốc BV Bạch Mai: "Chúng tôi đã vượt qua thời khắc khó khăn nhất"
Y tế 24h - 11/04/2020
Trước giờ gỡ lệnh phong tỏa vì dịch Covid-19, GS. Nguyễn Quang Tuấn, GĐ BV Bạch Mai chia sẻ: "Chúng tôi đã vượt qua thời khắc khó khăn nhất".
Sáng 11/04 không ghi nhận thêm ca nhiễm nCoV
Y tế 24h - 10/04/2020
6h ngày 11/4, Bộ Y tế không ghi nhận thêm ca nhiễm mới, 113 người đang điều trị, 144 người khỏi bệnh.
Thứ trưởng Y tế: 'Chưa loại trừ nguy cơ bệnh nhân nặng tử vong'
Y tế 24h - 10/04/2020
Các chuyên gia y tế giỏi nhất đang tập trung cứu chữa các bệnh nhân Covid-19 nặng, song đánh giá nguy cơ tử vong vẫn còn.
Bộ Y tế cử chuyên gia dập dịch thôn Hạ Lôi
Y tế 24h - 10/04/2020
Tổ công tác đặc biệt phòng chống dịch do ông Trần Như Dương, Phó Viện trưởng Vệ sinh Dịch tễ Trung ương, dẫn đầu đến thôn Hạ Lôi hôm nay.



