Giám sát chặt chẽ ngăn ngừa dịch đậu mùa khỉ xâm nhập
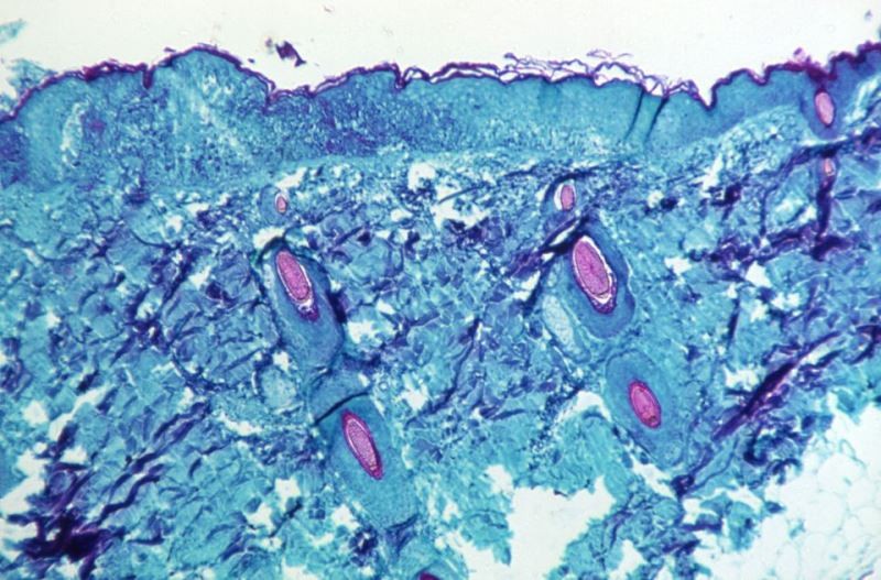
Theo thông báo của WHO, tính đến ngày 21/5, đã có 92 ca bệnh đậu mùa khỉ được xác nhận và 28 ca nghi nhiễm được báo cáo ở 12 quốc gia, trong đó có Anh, Bồ Đào Nha, Thụy Điển, Canada, Bỉ, Đức, Australia, Mỹ... WHO dự đoán sẽ có nhiều trường hợp mắc bệnh đậu mùa khỉ được xác định do việc giám sát mở rộng ở các nước không có dịch bệnh.
Các bằng chứng hiện có cho thấy, những người có nguy cơ cao nhất là những người đã tiếp xúc thân thể gần gũi với người bệnh khi họ đang có triệu chứng. Bệnh đậu mùa khỉ có liên quan tới bệnh đậu mùa vốn đã được xóa sổ vào năm 1980.
Bệnh đậu mùa khỉ khó lây hơn, triệu chứng nhẹ hơn và tỷ lệ tử vong thấp hơn so với bệnh đậu mùa. Bệnh thường kéo dài từ 2 đến 4 tuần và các triệu chứng có thể xuất hiện ở bất kỳ vị trí nào trên cơ thể từ 5 đến 21 ngày sau khi nhiễm virus. Các triệu chứng mắc bệnh đậu mùa khỉ lúc khởi phát thường là sốt, nhức đầu, đau cơ, đau lưng, ớn lạnh, kiệt sức và sưng hạch bạch huyết. Sự khác biệt là bệnh đậu mùa khỉ làm cho các hạch bạch huyết sưng lên trong khi bệnh đậu mùa thì không...
Đọc tiếp cùng chuyên mục
Đừng để AI làm xói mòn quan hệ thầy thuốc - bệnh nhân
Tin tức & chuyên gia - 18/11/2025
Đừng để AI làm xói mòn quan hệ thầy thuốc - bệnh nhân
Dấu hiệu nào nhận biết sa sút trí tuệ?
Tin tức & chuyên gia - 18/12/2024
Dấu hiệu nào nhận biết sa sút trí tuệ?
2 phút giành giật sự sống kỳ tích cho người nước ngoài bị ngừng tim ở quán ăn
Tin tức & chuyên gia - 28/03/2024
2 phút giành giật sự sống kỳ tích cho người nước ngoài bị ngừng tim ở quán ăn
Lâm Đồng: Tìm thấy thi thể cháu bé mất tích sau vụ lật thuyền trên hồ Đông
Tin tức & chuyên gia - 27/03/2024
Lâm Đồng: Tìm thấy thi thể cháu bé mất tích sau vụ lật thuyền trên hồ Đông
Tìm thấy thi thể nam thanh niên nhảy cầu Cổ Lũy tự vẫn
Tin tức & chuyên gia - 26/03/2024
Tìm thấy thi thể nam thanh niên nhảy cầu Cổ Lũy tự vẫn




