Hội chứng 'siêu nam' khiến con người phạm tội
Đại tá Hà Quốc Khanh, nguyên phó Viện trưởng Viện Khoa học hình sự, Bộ Công an, kể lại vụ giết người xảy ra năm 1966 tại Mỹ, đến nay trở thành một trong những vụ án lớn nhất thế kỷ. Đêm 14/7/1966, khu nhà tập thể của các nữ y tá làm việc tại Bệnh viện Cộng đồng, thành phố Chicago, một kẻ lạ mặt mang theo súng và dao mổ lợn đã đột nhập vào phòng ngủ những cô gái. Hắn hãm hiếp, giết chết 8 người. Khi chuẩn bị tiếp tục gây án thì người thứ 9 may mắn trốn thoát. Cô gái duy nhất còn sống sót đã miêu tả chính xác nhân dạng của kẻ sát nhân.
Cảnh sát Chicago điều tra, kết luận kẻ hiếp dâm, giết người máu lạnh này là Richard Speck, sinh ra tại Dallas, bang Texas. Richard Speck bị bắt, bị tuyên án tử hình năm 1967.
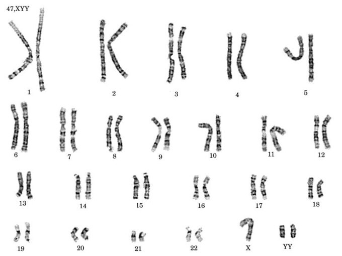
Lý giải nguyên nhân gây án của Richard Speck, giới chuyên môn nhận định anh ta mang bất thường nhiễm sắc thể, mắc hội chứng Jacobs hay còn gọi là hội chứng siêu nam, tức mang nhiễm sắc thể XYY.
Một vụ giết người khác ở Paris năm 1968, thủ phạm được xác định là Daniel Hugon, đã giết gái mại dâm tại một khách sạn. Trong phiên tòa xét xử, một bác sĩ tâm thần làm chứng rằng bị cáo mang nhiễm sắc thể XYY, hiểu là "trí não không bình thường". Daniel Hugon được giảm nhẹ án.
Nghiên cứu gene cơ thể con người, tìm ra mối liên hệ giữa nhiễm sắc thể giới tính với hành vi lệch lạc, trong đó có tội phạm, là mối quan tâm lớn của các nhà tội phạm học. Hướng nghiên cứu này đang rất phát triển trên thế giới, nhất là ở Anh, Mỹ, Australia. Học giả đầu tiên nghiên cứu theo hướng này là Patricia Jacobs, Giáo sư, Tiến sĩ y khoa trường đại học Southampton, sinh năm 1934, người Anh.
Năm 1959, Patricia Jacob là người đầu tiên trên thế giới đưa ra vấn đề kiểu nhiễm sắc thể bất thường (kiểu 47 XYY) liên quan đến hành vi phạm tội. Công trình nghiên cứu nổi tiếng nhất của Patricia Jacobs, "Hành vi hung hãn, trạng thái trí tuệ kém phát triển và nhiễm sắc thể XYY của nam giới", mở ra con đường mới mẻ trong nghiên cứu về nguyên nhân của tội phạm.
Các nhà nghiên cứu cho rằng nguyên nhân của tội phạm là do người phạm tội có kiểu nhiễm sắc thể bất thường so với người bình thường khác. Người đàn ông bình thường mang nhiễm sắc thể là XY, người phụ nữ bình thường có nhiễm sắc thể là XX.
Qua nghiên cứu một số mẫu tù nhân ở Anh, Patricia Jacobs nhận thấy số tù nhân nam có kiểu nhiễm sắc thể XYY, nghĩa là thừa một nhiễm sắc thể Y, một số tù nhân nữ có kiểu nhiễm sắc thể XXX, nghĩa là thừa một nhiễm sắc thể X. Patricia Jacobs phát hiện những người có kiểu nhiễm sắc thể bất thường này thường có biểu hiện rối loạn tâm lý xã hội, khuynh hướng thực hiện những hành vi quá khích, hung hãn.
Đại tá Hà Quốc Khanh nhận định, trong y học, hiện tượng bất thường nhiễm sắc thể giới tính không phải mới. Bất thường nhiễm sắc thể giới tính là do lỗi của quá trình phân bào giảm phân để hình thành giao tử (trứng và tinh trùng) trong tế bào. Khi hình thành hợp tử, phát triển thành phôi, sinh ra cơ thể mới mang nhiễm sắc giới tính bị lỗi. Do đó, xuất hiện những hội chứng do bất thường nhiễm sắc thể như Hội chứng Turner (XO), hội chứng Triple X (XXX), hội chứng Kleinfelter (XXY), hội chứng Jacobs hay còn gọi là siêu nam (XYY) hoặc XXYY.
Hội chứng siêu nam (XYY) được phát hiện lần đầu vào năm 1961. Một loạt nghiên cứu đưa đến kết luận người mang nhiễm sắc thể XYY là nam giới có chiều cao cao hơn bình thường, trán vát và thấp, cung mày lớn, hàm rộng. Tính cách người này thiếu tính tự chủ, tính khí hùng hổ, hành vi bốc đồng, hiếu động, bạo lực và chống đối xã hội. Ngoài ra, những người này phát triển trí tuệ chậm, giảm khả năng học tập và khó khăn trong diễn đạt ngôn ngữ, chỉ số IQ kém, từ 60 đến 80 (chỉ số IQ trung bình khoảng 100).
Người bị hội chứng XYY không di truyền và vẫn có khả năng sinh con.
Nhà nghiên cứu John Money của Mỹ nhận thấy, người mang nhiễm sắc thể XYY rất dễ nhận biết và được tìm thấy trong các trại giam bởi ngoại hình cao lớn và những tính cách khác thường. Tính bạo lực của người có nhiễm sắc thể XYY cao gấp 6 lần người bình thường.
Nhà nghiên cứu Gosavi SR và cộng sự năm 2009 nghiên cứu về di truyền tế bào trong khoa học hình sự, nhằm xác định sự liên quan giữa tội phạm và sự thay đổi bất thường của nhiễm sắc thể, chủ yếu nhiễm sắc thể giới tính. Qua khảo sát di truyền tế bào của 84 phạm nhân, nhóm nghiên cứu chỉ ra rằng có sự liên quan giữa đặc tính tội phạm và nhiễm sắc thể.
Năm 2012, nhóm nghiên cứu Kirstine Stocholm mở rộng hơn, nhóm nghiên cứu đã khảo sát 281 người có hội chứng XYY thì 161 người phạm ít nhất một tội. Từ đó nhóm nghiên cứu đưa ra kết luận những người có hội chứng XXY và XYY phạm tội xuất hiện nhiều hơn so với những người bình thường trong quần thể. Tính chất tội phạm thường thấy là tội xâm hại tình dục, trộm cắp, gây hỏa hoạn.
Đại tá Khanh cho rằng, hiện tượng lệch bội nhiễm sắc thể giới tính là sự rối loạn di truyền dẫn đến một số hội chứng bệnh. Riêng hội chứng XYY ở nam giới tiềm ẩn nguy cơ dẫn đến phạm tội cao hơn những người bình thường XY. Nhưng không có nghĩa là những người có hội chứng XYY đều dễ phạm tội.
Các chuyên gia cho biết, hiện nay các bất thường về nhiễm sắc thể nói chung và bất thường nhiễm sắc giới tính có thể được phát hiện sớm khi thai nhi còn trong bụng mẹ, nhờ các phương pháp sàng lọc và chẩn đoán. Hiệp hội sản phụ khoa Mỹ khuyến cáo tất cả sản phụ đều nên được tư vấn và thực hiện sàng lọc dị tật thai nhi bằng NIPT (sàng lọc trước sinh không xâm lấn).
Bộ Y tế Việt Nam cũng khuyến cáo các thai phụ thực hiện xét nghiệm NIPT. Xét nghiệm này có thể thực hiện nhanh chóng, chỉ cần lấy 7 ml máu thai phụ để phân tích và sau khoảng 5 ngày sau là có kết quả về bất thường các nhiễm sắc thể của em bé trong bụng mẹ.
Hiện tại, hội chứng siêu nam chưa có phương pháp điều trị dứt điểm, nhưng có những hướng điều trị khác như thay thế testosterone, điều trị chứng vô sinh, phẫu thuật để giảm các triệu chứng biểu hiện bệnh khác.
Người nam có những biểu hiện bất thường cần thực hiện chẩn đoán các hội chứng di truyền để có hướng điều trị giảm nhẹ tình trạng của bệnh, hạn chế những tác động không mong muốn của hội chứng đến cơ thể.
Thúy Quỳnh
Đọc tiếp cùng chuyên mục
Điều khác biệt của mùa sốt xuất huyết năm nay
Y học thường thức - 06/08/2024
Điều khác biệt của mùa sốt xuất huyết năm nay
Xuất hiện ổ dịch bệnh sởi tại Đắk Lắk
Y học thường thức - 16/07/2024
Xuất hiện ổ dịch bệnh sởi tại Đắk Lắk
Xử trí kiến ba khoang đốt, tránh để lại sẹo thâm
Y học thường thức - 03/07/2024
Xử trí kiến ba khoang đốt, tránh để lại sẹo thâm
Trẻ béo phì có vệt đen vùng cổ, có đáng lo?
Y học thường thức - 28/05/2024
Trẻ béo phì có vệt đen vùng cổ, có đáng lo?
Chớ chủ quan với bệnh giời leo
Y học thường thức - 02/05/2024
Chớ chủ quan với bệnh giời leo




