Phát hiện khối u trung thất lớn khi mổ ruột thừa
Bệnh nhân được phẫu thuật là bác V.T.T. (sinh năm 1965) trú tại Đống Đa, Hà Nội.
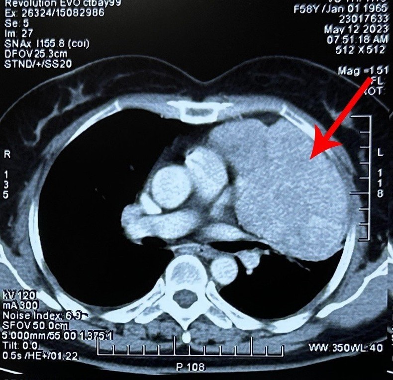
Trước đó, bệnh nhân sức khỏe hoàn toàn bình thường, không có dấu hiệu mệt mỏi, đau đớn hay khó chịu. Khi chuyển đến Bệnh viện Ung Bướu Hà Nội, qua các xét nghiệm chụp chiếu, các bác sĩ xác định khối u kích thước 11x10cm đã chèn ép gây xẹp gần như toàn bộ phổi trái, dính vào màng phổi, màng tim và dịch màng phổi tương đối dày.
Tiến sĩ, bác sĩ Phan Lê Thắng, Phụ trách Đơn nguyên Ngoại theo yêu cầu cho biết, khối u của bệnh nhân có kích thước lớn, nhiều mạch nuôi, gây tăng sinh mạch máu, dính các tạng xung quanh khiến quá trình phẫu thuật gặp nhiều khó khăn trong việc cầm máu và cắt u. Nếu không được phát hiện kịp thời, u phát triển xâm lấn cả hai phổi gây khó thở, suy hô hấp thì việc phẫu thuật sẽ càng khó khăn hơn.
Ngoài ra, các ca mổ lồng ngực có đặc thù đường mổ hẹp, chỉ có thể rạch một khoang nhỏ giữa khe hai xương sườn để đưa dụng cụ phẫu thuật vào cắt u và cầm máu. Do đó, phẫu thuật viên cần có kinh nghiệm và tay nghề chuyên môn cao để có thể thực hiện các thao tác một cách chính xác, tránh gây mất máu ồ ạt đe dọa đến tính mạng người bệnh.
Sau hai giờ phẫu thuật, toàn bộ khối u đã được lấy ra. Với kinh nghiệm dày dặn của ê kíp phẫu thuật, ca mổ diễn ra thuận lợi, bệnh nhân không cần truyền thêm máu, sau ba ngày bệnh nhân đã được rút ống dẫn lưu, sức khỏe ổn định.
Kết quả giải phẫu bệnh cho thấy khối u là loại u tuyến ức tuýp AB. U tuyến ức là căn bệnh hiếm gặp hơn so các bệnh ung thư khác và hầu như không biểu hiện triệu chứng khi ở giai đoạn sớm, tuy nhiên khi mắc căn bệnh này nếu được thăm khám và điều trị kịp thời thì cơ hội sống rất cao.
Do đó Tiến sĩ, bác sĩ Phan Lê Thắng khuyến cáo người dân nên khám sức khỏe định kỳ để kịp thời phát hiện những bất thường trong cơ thể, nhất là với một số loại bệnh âm thầm phát triển chỉ có dấu hiệu khi bệnh đã ở giai đoạn muộn.
Tin lên quan
Đọc tiếp cùng chuyên mục
Hai người nguy kịch vì sốt mò
Y tế 24h - 16/09/2025
Hai người nguy kịch vì sốt mò
Bệnh nhân ghép tim - phổi thành công đầu tiên tại Việt Nam xuất viện
Y tế 24h - 10/09/2025
Bệnh nhân ghép tim - phổi thành công đầu tiên tại Việt Nam xuất viện
Bé trai 15 tháng tuổi tổn thương phổi nặng vì uống phải tinh dầu đuổi muỗi
Y tế 24h - 07/08/2025
Bé trai 15 tháng tuổi tổn thương phổi nặng vì uống phải tinh dầu đuổi muỗi
Người đàn ông da vàng như nghệ, hôn mê vì lý do này
Y tế 24h - 10/02/2025
Người đàn ông da vàng như nghệ, hôn mê vì lý do này
Liệt nửa người sau mũi tiêm trị đau vai gáy ở phòng khám tư
Y tế 24h - 15/01/2025
Liệt nửa người sau mũi tiêm trị đau vai gáy ở phòng khám tư




