Tin tức & chuyên gia
Loại bỏ u sau phúc mạc kích thước khủng 40cm
Y tế 24h - 09/06/2022
Mang khối u sau phúc mạc có kích thước lớn nhất từ trước đến nay, với đường kính lên đến 40cm, bệnh nhân nữ Trần Thị Đ. 62 tuổi, quê tại huyện Vụ Bản, Nam Định đã được các bác sĩ Bệnh viện K loại bỏ khối u thành công.
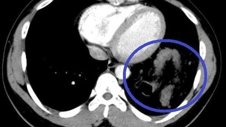
Phẫu thuật thành công khối u trong lồng ngực nặng 2kg tại Kon Tum
Y tế 24h - 08/06/2022
Ngày 7/6, Bệnh viện đa khoa tỉnh Kon Tum cho biết, cơ sở này đã phẫu thuật cho một bệnh nhân, cắt bỏ thành công khối u trung thất (khối u trong lồng ngực) với kích thước lớn 20x10cm, nặng 2kg.
Tử vong vì nhiễm nấm Aspergillus fumigatus sau khi ăn mối
Y tế 24h - 08/06/2022
Sau khi ăn món mối rang để nhiều ngày trong tủ lạnh, một bệnh nhân đã tử vong vì nhiễm nấm Aspergillus fumigatus.
Nhập viện vì stress trước kỳ thi tốt nghiệp
Y tế 24h - 08/06/2022
Viện Sức khỏe tâm thần, Bệnh viện Bạch Mai gần đây đã tiếp nhận không ít các học sinh có vấn đề về sức khỏe tâm thần do áp lực học tập, đặc biệt trong thời điểm các kỳ thi quan trọng sắp diễn ra.
Thành phố Hồ Chí Minh ghi nhận gần 12 nghìn ca mắc sốt xuất huyết
Y tế 24h - 08/06/2022
Ngày 8/6, theo Trung tâm Kiểm soát bệnh tật Thành phố Hồ Chí Minh (HCDC), trong 5 tháng đầu năm 2022, thành phố ghi nhận 11.722 trường hợp mắc bệnh sốt xuất huyết, tăng 66,5% với cùng kỳ năm 2021 là 7.039 ca. Trong đó số ca sốt xuất huyết nặng là 209 ca, tăng hơn 7 lần so với cùng kỳ năm 2021 (28 ca).
Trường hợp tử vong đầu tiên ở Gia Lai do sốt xuất huyết
Y tế 24h - 07/06/2022
Trường hợp tử vong đầu tiên ở Gia Lai do sốt xuất huyết là bệnh nhân nữ (sinh năm 2002) ở thôn 1, xã Hải Yang, huyện Đắk Đoa. Ngày 30/5, bệnh nhân nhập viện tại Bệnh viện thành phố Pleiku và được chẩn đoán là sốt xuất huyết Dengue nặng, sau đó được chuyển đến Bệnh viện Đa khoa tỉnh điều trị tại Khoa Hồi sức tích cực chống độc.
Ngày 6/6, nước ghi nhận 802 ca Covid-19 mới, tăng 117 ca so ngày trước
Y tế 24h - 06/06/2022
Bộ Y tế ngày 6/6 cho biết, có 806 ca mắc Covid-19 tại 45 tỉnh, thành phố, tăng 117 ca so ngày trước. Có 1 F0 tử vong tại Vĩnh Long.
Thời điểm thích hợp nhất để cấy ốc tai điện tử cho trẻ điếc bẩm sinh
Y tế 24h - 06/06/2022
Theo thống kê, cứ 1.000 trẻ sinh ra thì có từ 1-3 trẻ bị điếc bẩm sinh và cấy ốc tai đang là phương pháp điều trị điếc bẩm sinh tiên tiến nhất hiện nay. Thời điểm thích hợp nhất để phẫu thuật cấy ốc tai điện tử cho trẻ là dưới 3 tuổi.
Kỷ niệm 65 năm ngày thành lập Bệnh viện Y học Cổ truyền Trung ương
Y tế 24h - 06/06/2022
Trong chặng đường 65 năm xây dựng và phát triển, Bệnh viện Y học Cổ truyền Trung ương đã triển khai được nhiều kỹ thuật mới, nhiều mũi nhọn chuyên sâu, đáp ứng nhu cầu khám chữa bệnh ngày càng cao của nhân dân.
TP. Hồ Chí Minh phát hiện 111 ổ dịch sốt xuất huyết mới
Y tế 24h - 05/06/2022
Theo Trung tâm Kiểm soát bệnh tật TP. Hồ Chí Minh, trong tuần 22 (từ ngày 27/5 - 2/6), trên địa bàn thành phố ghi nhận 111 ổ dịch sốt xuất huyết mới phát sinh.
Ngày 5/6, cả nước ghi nhận 685 ca Covid-19 mới, chỉ còn 35 F0 nặng
Y tế 24h - 05/06/2022
Ngày 5/6, Bộ Y tế cho biết có 685 ca mắc mới Covid-19 tại 36 tỉnh, thành phố trên cả nước, chỉ còn 35 F0 nặng. Số ca khỏi bệnh cao gấp gần 14 lần số ca mắc mới.
Cảnh giác rối loạn tâm thần hậu Covid-19
Y tế 24h - 05/06/2022
Lo lắng và lâu dần dẫn đến trầm cảm, mất ngủ, rối loạn ý thức là triệu chứng khá phổ biến của nhiều người sau nhiễm Covid-19.



